Bildgebung bei Tuberkulose
Zusammenfassung
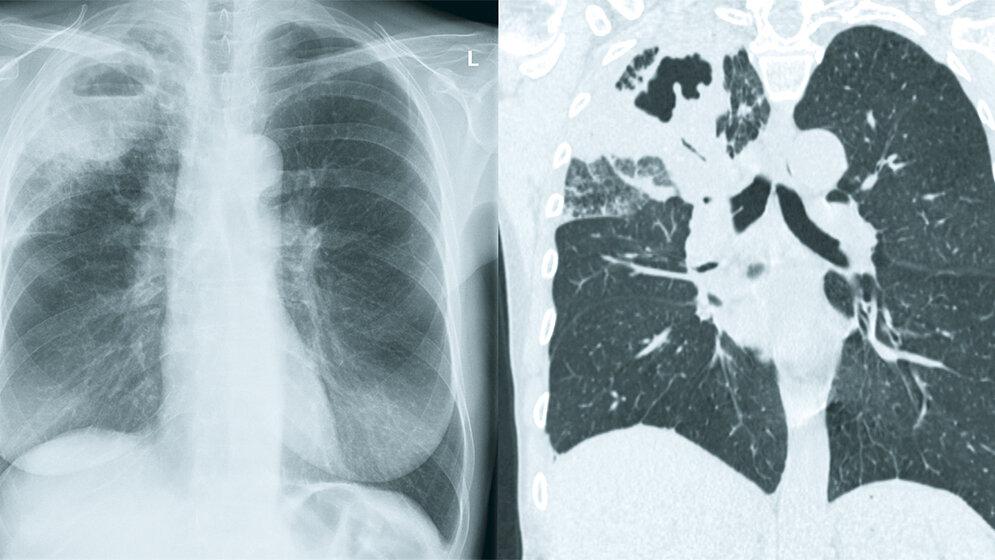
Bei der Tuberkulose-Infektion wird zwischen der primären Tuberkulose bei Erstkontakt und der postprimären Tuberkulose bei Reinfektion oder Reaktivierung unterschieden. Während die primäre Tuberkulose häufig selbstlimitierend ist und mit verkalkten Granulomen ausheilt, zeigt die postprimäre Tuberkulose häufig einen schweren Verlauf mit Kavernenbildungen insbesondere in den Oberlappen. Multiple pulmonale Noduli zeigen sich im Falle einer miliaren oder endobronchialen Aussaat und können hinweisgebend auf eine offene Tuberkulose sein. Auch wenn die Bildgebung nicht sehr spezifisch ist, kann sie dennoch Hinweise für oder gegen eine Tuberkulose-Infektion und mögliche Komplikationen wie beispielsweise eine offene Infektion geben.
DOI:10.3238/MTADIALOG.2017.0125
Entnommen aus MTA Dialog 02/2017
Dann nutzen Sie jetzt unser Probe-Abonnement mit 3 Ausgaben zum Kennenlernpreis von € 19,90.
Jetzt Abonnent werden
