Das Beziehungsmuster zwischen der Leber und den Laborwerten

Leberwerte
Anita Läsch, Stefan Kapp
Das Beziehungsmuster zwischen der Leber und den Laborwerten
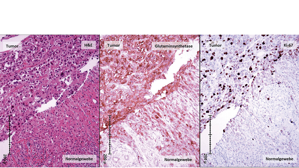
Hepatozelluläres Karzinom © Pathologie Trier
Newsletter­anmeldung

Bleiben Sie auf dem Laufenden. Der MT-Dialog-Newsletter informiert Sie jede Woche kostenfrei über die wichtigsten Branchen-News, aktuelle Themen und die neusten Stellenangebote.

Formularfelder Newsletteranmeldung

* Pflichtfeld

Die Leber ist die größte Drüse des Körpers, ist an einer Vielzahl von Stoffwechselprozessen beteiligt und produziert wichtige Enzyme und Eiweiße.

Sie ist ein Entgiftungsorgan, bildet Gallenflüssigkeit, verarbeitet Bilirubin als Abbauprodukt der roten Blutkörperchen et cetera. Sie erfüllt sehr viele Aufgaben im Körper und speichert unter anderem das Glykogen und Vitamine, die über die Pfortader aus dem Darm herantransportiert werden.

DOI: 10.3238/MTADIALOG.2017.0310

Entnommen aus MTA Dialog 5/2017

Online-Angebot der MT im Dialog

Um das Online-Angebot der MT im Dialog uneingeschränkt nutzen zu können, müssen Sie sich einmalig mit Ihrer DVTA-Mitglieds- oder Abonnentennummer registrieren.

Stellen- und Rubrikenmarkt

Möchten Sie eine Anzeige in der MT im Dialog schalten?

Stellenmarkt
Industrieanzeige