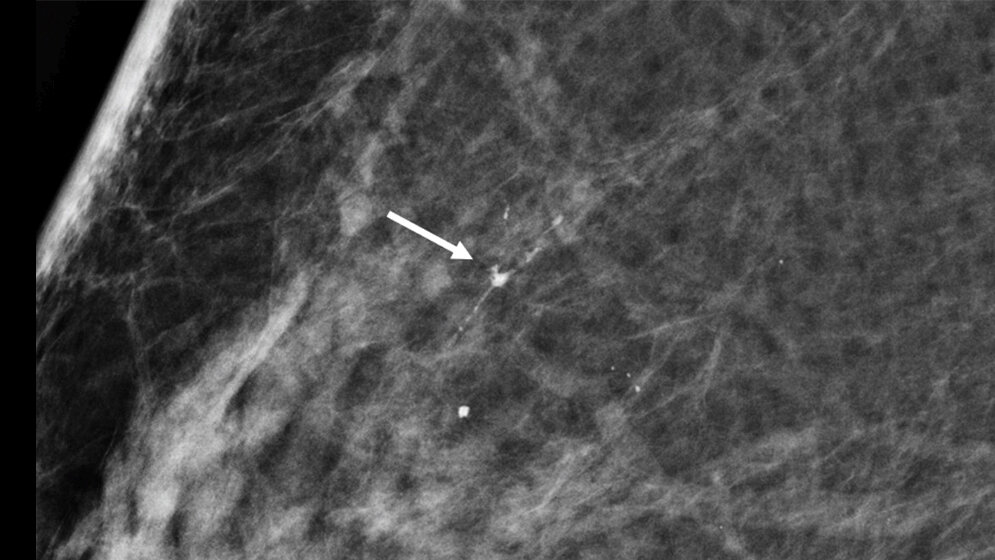
Die aktuelle Untersuchung aus Nordrhein-Westfalen hat Screening-Ergebnisse von 714.000 Frauen ausgewertet, die im Abstand von jeweils zwei Jahren bis zu dreimal am Mammographie-Screening teilgenommen haben. Bei 1.970 Frauen wurde eine Brustkrebsvorstufe entdeckt. In der Hälfte aller Fälle handelte um es sich um die aggressivste Form, wie die Folgeuntersuchungen ergaben.
Weniger Überdiagnosen als behauptet?
Die Ergebnisse deuten auf erheblich weniger Überdiagnosen im Mammographie-Screening als oft behauptet. Bei Überdiagnosen handelt es sich um entdeckte Brustkrebserkrankungen, die im Laufe des Lebens einer Frau ohne Früherkennung nicht auffällig geworden wären. Die größte Wahrscheinlichkeit einer Überdiagnose wird den „harmlosen“ Brustkrebsvorstufen zugeschrieben, die erst in mehr als zehn Jahren in einen invasiven Brustkrebs übergehen können.
Regelmäßige Teilnahme als Vorteil?
Das interdisziplinäre Forscherteam der Universität Münster hat anhand großer Datenmengen gezeigt, dass die im Folgerunden-Screening entdeckten aggressiveren Brustkrebsvorstufen schneller im Vergleich zu den harmloseren Formen nachwachsen. Daher steigt ihr Anteil mit der wiederholten Screening-Teilnahme. Das bedeutet im Umkehrschluss, dass gerade die regelmäßig teilnehmenden Frauen vom Mammographie-Screening besonders profitieren. Denn sind die Brustkrebsvorstufen aggressiv, werden sie durch diese Form der Brustkrebsfrüherkennung häufig entdeckt, bevor sie in einen aggressiven invasiven Brustkrebs übergehen können. (idw, red)
Weigel S, Khil L, Hense HW, et al.: Detection Rates of Ductal Carcinoma in Situ with Biennial Digital Mammography Screening: Radiologic Findings Support Pathologic Model of Tumor Progression. Radiology. 2018 Feb; 286 (2): 424-432 [Epub 2017 Nov 6]. DOI: 10.1148/radiol2017170673.
Artikel teilen







