PRG3 heißt das Gen, das vor allem in jungen Jahren im Hirn aktiv ist und das dessen Entwicklung und damit das menschliche Lernvermögen maßgeblich beeinflusst. Das Gen steuert aber auch das Wachstum bösartiger Hirntumoren. Das haben jetzt Wissenschaftler der Friedrich-Alexander-Universität Erlangen-Nürnberg (FAU) um den Neuroonkologen PD Dr. Nicolai Savaskan herausgefunden.
„Umsichgreifen“ und Bösartigkeit verringern
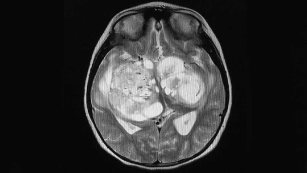
Die Neurowissenschaftler der FAU konnten nun nachweisen, dass dieses Gen in bösartigen Hirntumoren, so genannten Gliomen, häufig entweder im Übermaß oder gar nicht wirkt. Brachten die Forscher die PRG3-Aktivität wieder auf Normalmaß, konnten sie auch das für Gliome typische, schnelle Umsichgreifen verlangsamen und deren Bösartigkeit verringern.
Noch weiter Weg bis zur Therapie
„Unsere Erkenntnis lässt jedoch noch nicht auf einen neuen Therapieansatz hoffen“, erklärt Savaskan. „Offenbar reicht es nicht in jedem Fall aus, das PRG3-Gen wieder zu bändigen. Vielmehr scheint die Aktivität der Zellen von mehreren Faktoren abzuhängen, die fein aufeinander abgestimmt sind. Unsere Aufgabe wird es sein, diese nun aufzuschlüsseln und weiter zu erforschen.“ (idw, red)
Zheng Fan, Philipp Bittermann-Rummel, Eduard Yakubov et al.: PRG3 induces Ras-dependent oncogenic cooperation in gliomas. DOI: 10.18632/oncotarget.8592
Artikel teilen

