Nicht immer ist Krebs lebensbedrohlich. Bei Frauen entwickelt sich z.B. eine Vorstufe von Brustkrebs in den Milchgängen, das sogenannte ductale Carcinoma in situ (DCIS), in 30 bis 50 Prozent der Fälle hin zu einem bedrohlichen invasiven Mamma-Karzinom. Weil das DCIS sehr gut heilbar ist, empfehlen Ärzte generell eine Behandlung. Allerdings fehlen den Ärztinnen und Ärzten bislang Anhaltspunkte, um verlässlich zu entscheiden, welcher Tumor harmlos bleibt oder in ein lebensbedrohliches invasives duktales Karzinom (IDC) übergehen dürfte.
Bildanalyse mithilfe von KI
Aufgrund dieser vorhandenen Wissenslücke bei der Charakterisierung von Brustkrebs beschloss ein Forschungsteam um G.V. Shivashankar, Leiter des Labors für Biologie im Nanobereich am PSI und Professor für Mechano-Genetik an der ETH Zürich, und Caroline Uhler, Direktorin des Eric and Wendy Schmidt Center am Broad Institute und Professorin für Elektrotechnik und Informatik am MIT, eine neue Studie zu initiieren. Es wurde eine Bildanalyse entwickelt, die mithilfe künstlicher Intelligenz (KI) das Krankheitsstadium zuverlässig einschätzen soll. „Unsere Arbeit eröffnet einen eigenständigen Ansatz zur Identifizierung des DCIS-Stadiums anhand von Bildern, die zeigen, wie die DNA in jeder einzelnen Zelle verpackt ist. Die Daten dafür sind leicht und kostengünstig zu erheben“, erklärt Shivashankar.
Grading hilft bei Prognose
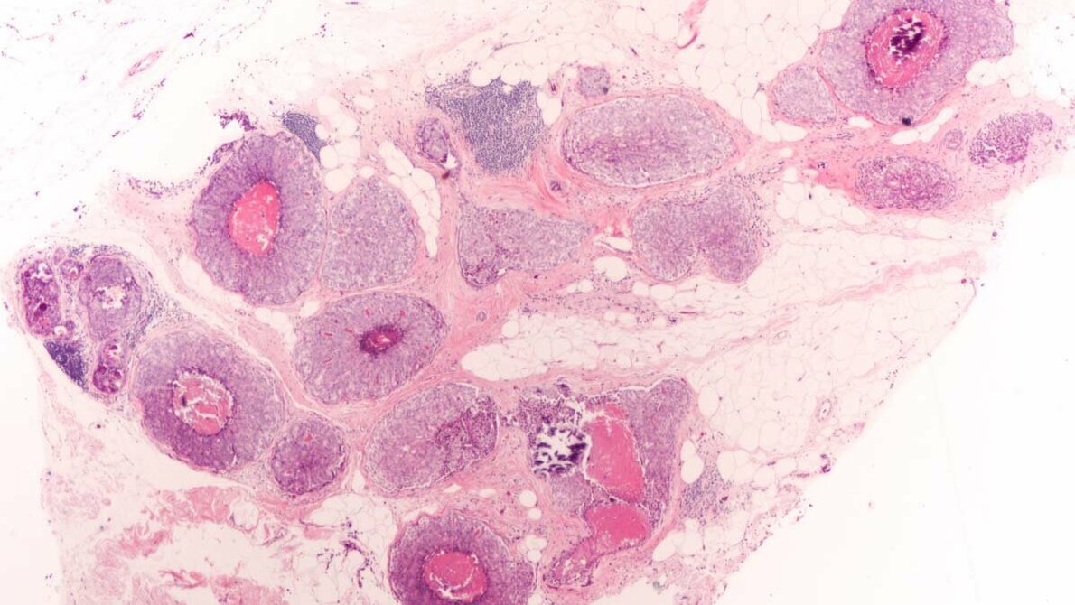
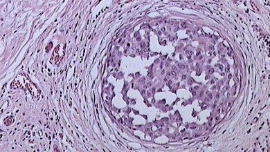
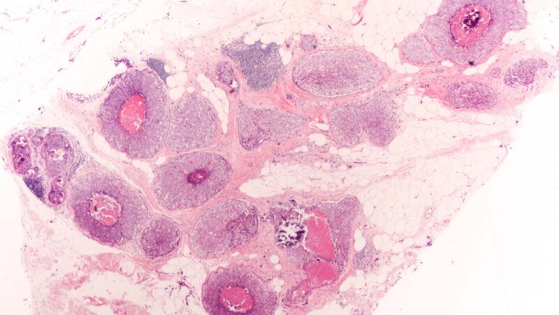
Das DCIS mache etwa 25 Prozent aller Brustkrebsdiagnosen aus. Bei Patientinnen seien die Zellen, die die Milchgänge auskleiden, gegenüber gesundem Gewebe verändert. Es lassen sich dabei oft Mikrokalkablagerungen feststellen. Bei der Behandlung könne es zu einer Bestrahlung, einer Hormontherapie oder einer Operation kommen. Mit dem Grading wird versucht, eine Prognose für das DCIS zu erstellen und entsprechend eine geeignete Therapie zu wählen. Hierbei wird der Grad der Veränderungen in sieben verschiedene Stufen eingestuft, je nach Größe des DCIS, das Aussehen seiner Zellkerne, Wachstum (Hyperplasie), invasive Entwicklung, Ausbreitung in Lymph- oder Blutzellen bzw. ob Metastasen vorhanden sind.
Welche Fälle werden aggressiv?
Das Problem bei einem DCIS: Etwa 50 bis 70 Prozent der Fälle bleiben harmlos. Die Frage für die Behandler: Welche kippen in die aggressivere Form? Es werden verschiedene Ansätze verfolgt, um die Prognosen verlässlicher zu machen. Eine Möglichkeit sei die aufwendige Bildtechnik. Anhand der Aufnahmen sollen Indikatoren für das Risiko ermittelt werden, das von einer Frühform ausgeht. Eine andere Möglichkeit bestehe in umfangreichen sogenannten Transkriptomanalysen. Dabei soll die Sequenzierung erfassen, wie viele und welche Gene zu einem bestimmten Zeitpunkt in den verdächtigen Zellen aktiv sind. Das Problem: Bisher seien diese Herangehensweisen im klinischen Alltag noch nicht erprobt und kaum praktikabel, so die Autoren. Letztlich seien sie zu aufwendig und zu teuer. Für die Patientinnen bleiben somit Unsicherheiten bestehen.
Mit KI Krankheitsstadium vorhersagen
Die aktuelle Studie zeige nun, dass der Einsatz von KI das Staging mithilfe leicht und kostengünstig zu erhebender Daten verbessern könnte. Die Forschenden um Shivashankar und Uhler stellten einem lernenden Algorithmus 560 Gewebeproben von 122 Patientinnen zur Verfügung. Diese waren mit dem Farbstoff DAPI versetzt worden, der das sogenannte Chromatin im Zellkern fluoreszierend leuchten lässt. Chromatin besteht unter anderem aus dem Erbmaterial DNA und Proteinen. Das Erscheinungsbild erlaubt Rückschlüsse auf die Organisation und somit die Aktivität der im Zellkern enthaltenen DNA. Nach einer Lernphase habe das KI-Modell Muster in den Gewebeschnitten identifiziert, die mit den von menschlichen Pathologen ermittelten Unterschieden übereinstimmten. „Unsere Analyse zeigt, dass billige und einfach zu beschaffende Chromatinbilder in Verbindung mit leistungsstarken KI-Algorithmen genügend Informationen liefern, um zu untersuchen, wie sich der Zellzustand und die Gewebeorganisation beim Übergang von DCIS zu IDC verändern, um das Krankheitsstadium genau vorherzusagen“, erklärt Uhler. Entsprechend erwarten die Forschenden großes Potenzial für eine solche auf KI und Chromatin-Bildgebung basierende Tumoreinstufung. Vor einem Einsatz in der Praxis seien jedoch zahlreiche weitere Studien erforderlich, welche die Zuverlässigkeit und die Sicherheit des Ansatzes belegen müssten, so etwa die Langzeitbeobachtung von DCIS-Patientinnen.
Quelle: idw/PSI
Artikel teilen




