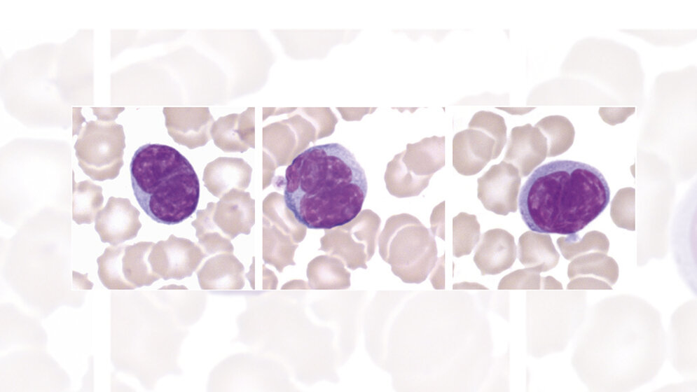
Hervorzuheben ist das Sézary-Syndrom (SS), bei dem sich Veränderungen an der Kernoberfläche der Lymphomzellen nachweisen lassen, die an die Furchungen und Windungen eines Gehirns (gyriform, cerebriform) [1] erinnern. Diese Zellen werden Sézary-Zellen oder nach ihrem Erstbeschreiber Lutzner-Zellen [1] genannt.
Die charakteristische Beschaffenheit der Kernoberfläche der Sézary-Zellen ist das zytologische Erkennungsmerkmal des Sézary-Syndroms im Pappenheim-gefärbten Blutausstrich (Abbildungen 1 bis 3). Die elektronenmikroskopische Darstellung zeigt noch eindrücklicher die schlangenlinienförmig oder serpentinenartig gewundenen Kerne, die den Vergleich mit der Oberfläche des Gehirns verständlich machen [1].
DOI: 10.3238/MTADIALOG.2017.0958
Entnommen aus MTA Dialog 11/2017
Dann nutzen Sie jetzt unser Probe-Abonnement mit 3 Ausgaben zum Kennenlernpreis von € 19,90.
Jetzt Abonnent werden
