In Leberzellen sorgt ein eingebauter Schutzmechanismus dafür, dass sie in eine Art Winterschlaf (Seneszenz) fallen, wenn ihre Erbinformation irreparabel geschädigt ist. Der Schutzmechanismus verhindert, dass sich fehlerhafte Zellen zum Beispiel unkontrolliert vermehren und Krebstumoren bilden
Die Zellen im Ruhestand geben dabei Botenstoffe ab, die Zellen der körpereigenen Abwehr anlocken. Sie lösen damit ihre eigene Zerstörung aus. Die vorliegende Studie zeigt, dass über den Botenstoff CCL2 angelockte Zellen essenziell für den Schutz vor der Krebsentstehung sind
In einem zweiten Schritt konnte das Forscherteam zeigen, dass dieser sinnvolle Mechanismus des Immunsystems unterlaufen wird, wenn sich in der Nachbarschaft bereits Zellen eines bösartigen Tumors befinden. Dann nutzt der Tumor den Schutzmechanismus der seneszenten Zellen zu seinem Vorteil und behindert damit das gegen ihn arbeitende Immunsystem.
Eingeschränkte Therapiemöglichkeiten
Das Leberzellkarzinom (hepatozelluläres Karzinom, HCC) stellt weltweit die zweithäufigste Krebstodesursache dar, die Therapiemöglichkeiten sind bis heute eingeschränkt. Am Universitätsklinikum Tübingen sucht die Arbeitsgruppe um Lars Zender in Mausmodellen und an Proben aus menschlichen Tumoren nach neuen therapeutischen Zielstrukturen zur Behandlung des Leberzellkarzinoms.
In früheren Arbeiten konnte das Forscherteam bereits zeigen, dass Leberzellen, die zu entarten drohen, in eine Art Winterschlaf, genannt Seneszenz eintreten können, und dass diese schlafenden Zellen vom Immunsystem erkannt und entfernt werden können. Diese Immunantwort auf die schlafenden Zellen stellt einen wichtigen Schutzmechanismus zur Unterdrückung der Krebsentstehung in der Leber dar. Ist er defekt, können sich die schadhaften Zellen weiter verändern, aus dem Seneszenzprogramm ausbrechen und einen bösartigen Tumor bilden.
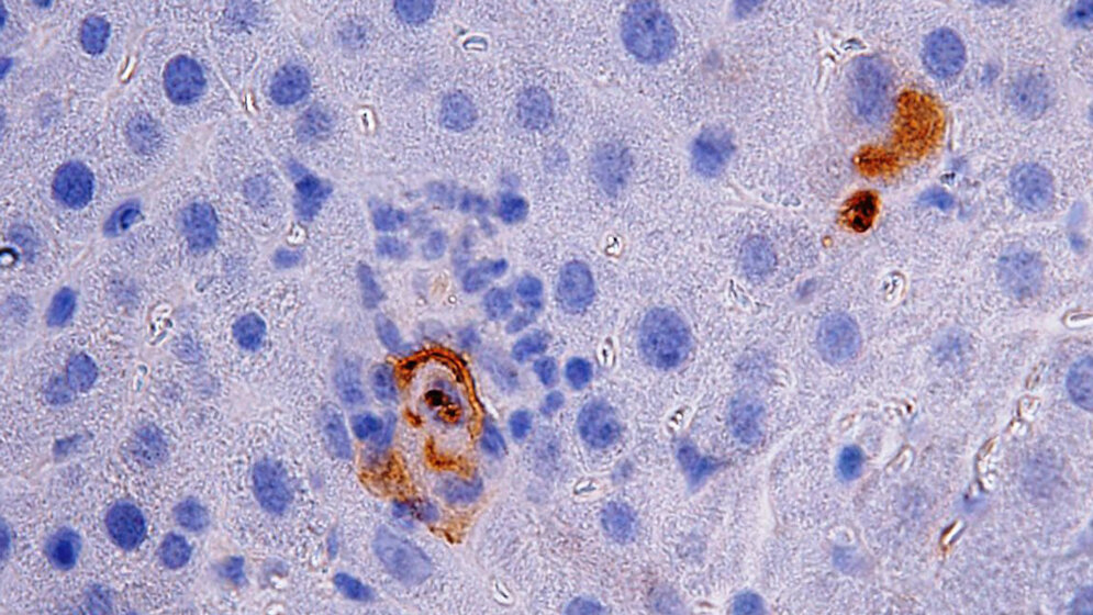
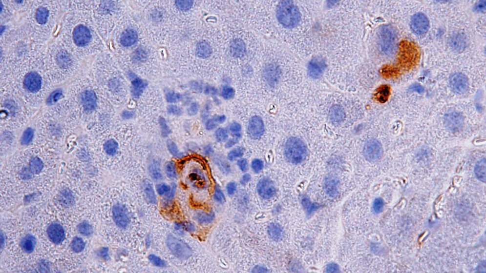
Seneszente Zellen schütten einen komplexen Mix von Botenstoffen aus, die die Zellen des Immunsystems anlocken und aktivieren. Ein besonders wichtiger Botenstoff ist dabei das Zytokin CCL2. In einer gemeinsamen Studie mit Forschern des National Cancer Institutes (National Institute of Health, NIH, USA) konnten die Tübinger Wissenschaftler nun belegen, dass die mit Hilfe genau dieses Botenstoffs angelockten Immunzellen essenziell für den Schutz vor der Krebsentstehung sind. Wird die Erkennung dieses Botenstoffs im Mausmodell blockiert, können die defekten Zellen im Ruhestand (Seneszenz) vom Immunsystem nicht mehr beseitigt werden, und es entsteht Leberkrebs. ###more###
Leberkrebs entsteht meistens im Rahmen von chronischen Lebererkrankungen, in deren Folge sich geschädigte Zellen in der Leber ansammeln können. Häufig finden sich daher bei Patienten mit Leberkrebs neben dem Tumor auch eine hohe Zahl an seneszenten Leberzellen.
In der aktuellen Studie untersuchten die Forscher daher auch, welchen Effekt seneszente Zellen auf das Wachstum bösartiger Lebertumoren haben. Dabei stellten sie fest, dass ein „seneszentes Milieu“ bei Leberkrebs-Patienten mit einer schlechteren Prognose assoziiert ist und auch im Mausmodell das Wachstum von Lebertumoren beschleunigen kann.
Nützliche Zellen können nicht mehr korrekt ausreifen
Paradoxerweise zeigte sich, dass für diesen Effekt ebenfalls Immunzellen verantwortlich sind, die durch die schlafenden Zellen mit Hilfe des Botenstoffs CCL2 in die Leber gelockt werden. Die Untersuchung zeigt, dass die unter normalen Umständen nützlichen Zellen unter dem Einfluss eines bereits bestehenden, bösartigen Tumors nicht mehr korrekt ausreifen können. Sie nehmen stattdessen immunsuppressive Eigenschaften an und beeinträchtigen die Funktion anderer Zellen des Immunsystems (sogenannte NK-Zellen), die normalerweise dabei helfen, das Tumorwachstum zu verlangsamen, wenn sich Leberkrebs bereits gebildet hat.
Die Ergebnisse tragen zu einem verbesserten Verständnis der kontextabhängigen Rolle der Immunantwort gegen seneszente Zellen bei der Unterdrückung der Krebsentstehung und während der Tumorprogression bei und verdeutlichen, wie wichtig die Abläufe sind, die seneszente Zellen aus dem Körper entfernen.
Lars Zender, Ärztlicher Direktor der Abteilung für klinische Tumorbiologie an der Medizinischen Universitätsklinik Tübingen: “Wir möchten die Seneszenz für die Krebstherapie nutzbar machen. Die vorliegenden Erkenntnisse werden eine wichtige Rolle bei der Entwicklung von Strategien spielen, um bösartig wachsende Tumoren in den künstlichen Winterschlaf zurückversetzen zu können.“
Distinct functions of senescence-associated immune responses in liver tumor surveillance and tumor progression
Tobias Eggert, Katharina Wolter, Juling Ji, Chi Ma, Tetyana Yevsa, Sabrina Klotz, José Medina-Echeverz, Thomas Longerich, Marshonna Forgues, Florian Reisinger, Mathias Heikenwalder, Xin Wei Wang, Lars Zender, Tim Greten
DOI: 10.1016/j.ccell.2016.09.003
Published 10.10.2016 Cancer Cell
Quelle: Universitätsklinikum Tübingen, 11.10.2016
Artikel teilen


