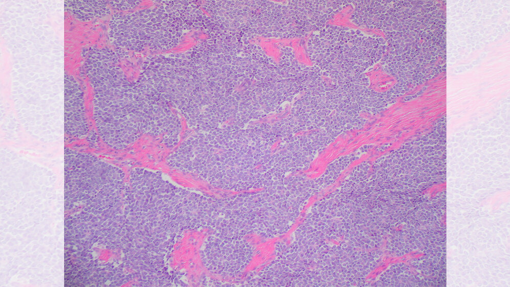
In Heidelberg beschäftigen sich Wissenschaftler sehr intensiv mit dem Ewing-Sarkom: Sie untersuchen die Rolle eines charakteristischen „Krebsgens“, das dazu führt, dass sich die Tumorzellen sehr schnell und fast fehlerfrei vermehren. Mit Hemmstoffen wollen sie gegensteuern und Tumorzellen letztlich zur Selbstzerstörung bringen. Die Deutsche Krebshilfe fördert das Projekt mit 233.000 Euro. „Sarkome sind die dritthäufigste Krebsart im Kindes- und Jugendalter. Im Vergleich zu anderen Krebsarten haben die jungen Patienten eine deutlich schlechtere Chance auf Heilung“, sagt Professor Dr. Dr. Thomas Grünewald, Leiter der Forschungsgruppe Translationale Pädiatrische Sarkomforschung am Hopp-Kindertumorzentrum Heidelberg (KiTZ) und Leiter der gleichnamigen Abteilung am Deutschen Krebsforschungszentrum (DKFZ). Beim Ewing-Sarkom liegt die Sterblichkeitsrate noch immer bei etwa 30 Prozent. Gemeinsam mit seinem Team möchte Grünewald neue Behandlungsmöglichkeiten für diesen bösartigen Knochentumor entwickeln.
Neu gebildetes Gen bringt Chaos in die Regulation der Zellteilung
Die Wissenschaftler/-innen konzentrieren sich dabei auf eine Veränderung des Erbgutes, die bei fast allen Ewing-Sarkomen vorkommt. Mehrere Gene sind dabei zu einem „Krebsgen“ verschmolzen – mit schwerwiegenden Folgen: Das neu gebildete Gen bringt Chaos in die Regulation der Zellteilung und löst damit das Tumorwachstum aus. „Beim Ewing-Sarkom teilen sich die Zellen besonders schnell“, erklärt KiTZ-Wissenschaftlerin Dr. Florencia Cidre-Aranaz, die das Projekt leitet. Normalerweise häufen Zellen, die sich sehr schnell teilen, beim Kopieren ihres Erbgutes viele Fehler an. Der Körper merkt dann, dass mit den Zellen etwas nicht stimmt und sorgt dafür, dass sie absterben. „Beim Ewing-Sarkom passieren aber erstaunlicherweise kaum Fehler“, erläutert Cidre-Aranaz.
Hemmstoffe sollen fehlerfreie Zellteilung stören
Zur stabilen Teilung der Tumorzellen trägt das Protein PRC1 bei, das durch das neue Krebsgen verstärkt gebildet wird. Patienten, bei denen PRC1 übermäßig aktiv ist, haben zudem eine besonders ungünstige Überlebensprognose. Die Forscher beschäftigen sich nun mit der Frage, wie genau das Krebsgen PRC1 hochreguliert und ob Hemmstoffe diesen Signalweg gezielt stören können. In der Folge würde dies dazu führen, dass neu gebildete Zellen wieder vermehrt Fehler in der Erbsubstanz aufweisen und absterben. Die Wissenschaftler wollen Hemmstoffe einsetzen, die sich bereits in der klinischen Erprobung befinden. „Wir sind deshalb sehr zuversichtlich, dass sich die Ergebnisse aus dem Labor schnell in klinische Studien zur Entwicklung neuer Behandlungsansätze übertragen lassen“, sagt Grünewald.
„In der Kinderonkologie sind bereits erhebliche Fortschritte erzielt worden: Heute können vier von fünf der jungen Patienten geheilt werden“, so Gerd Nettekoven, Vorstandsvorsitzender der Deutschen Krebshilfe. „Beim Ewing-Sarkom haben die Patienten aber leider immer noch eine schlechte Prognose. Die Bekämpfung von Krebs im Kindes- und Jugendalter ist daher auch in Zukunft für uns ein zentrales Anliegen.“
Quelle: Deutsche Krebshilfe
Artikel teilen



