Ösophagus
Zusammenfassung
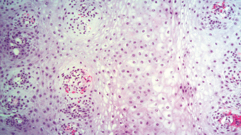
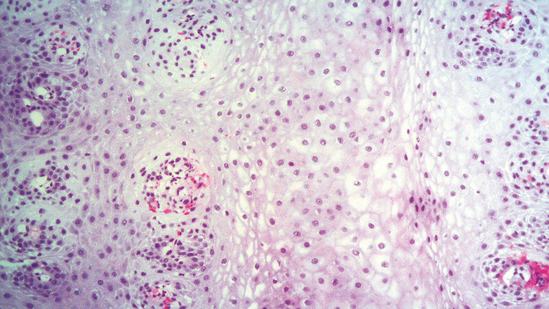
Der Ösophagus ist circa 25 cm lang und für den Transport der Nahrung in den Magen zuständig. Es gibt eine Reihe von Erkrankungen, die im Ösophagus auftreten können. Die häufigste entzündliche Erkrankung ist die Refluxösophagitis, woraus sich im hohen Stadium ein Barrett-Syndrom entwickeln kann. Das Plattenepithelkarzinom und das Adenokarzinom können als maligne Erkrankungen im Ösophagus vorkommen. Bei der Unterscheidung zwischen benignen und malignen Erkrankungen spielt die Pathologie eine wichtige Rolle, wobei die Immunhistochemie eine zuverlässige Methode bei der Differenzialdiagnose ist.
Schlüsselwörter: Ösophagus, Ösophaguskarzinom, Barrett-Ösophagus, Differenzialdiagnose, Immunhistochemie
Abstract
The esophagus is 25 cm long and responsible for transporting food into the stomach. There are several esophagus diseases. The most common inflammatory disease is the reflux esophagitis, at high stage a Barrett-Syndrome can develop. As a malignant disease in the esophagus the squamous cell carcinoma and the adenocarcinoma may occur. The pathology has an important function in distinguishing between benign and malign diseases, where the immunohistochemistry is a reliable method for differential diagnosis.
Keywords: esophagus, esophagus carcinoma, Barrett esophagus, differential diagnosis, immunohistochemistry
DOI: 10.3238/MTADIALOG.2020.0168
Entnommen aus MTA Dialog 3/2020
Dann nutzen Sie jetzt unser Probe-Abonnement mit 3 Ausgaben zum Kennenlernpreis von € 19,90.
Jetzt Abonnent werden






