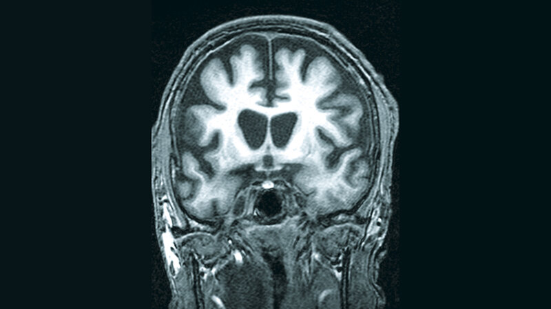
Chorea Huntington ist eine Erbkrankheit, bei der die Nachfahren ein Risiko von 50 % haben zu erkranken. Neben psychischen Veränderungen, die zu Beginn der Erkrankung vorherrschen, treten Bewegungsstörungen auf. Diese Hyperkinesen sind unwillkürliche, plötzliche und unregelmäßige Bewegungen. Sie betreffen die Extremitäten, aber auch die Kau- und Gesichtsmuskulatur. Genetische Ursache ist eine abnorm häufige Wiederholung eines Nukleotid-Tripletts. Pathophysiologisch zeigt sich eine Atrophie bestimmter Hirnregionen. Die Erkrankung verläuft chronisch progredient und kann nicht ursächlich behandelt werden. Es erfolgt lediglich eine Symptomminderung durch Arzneimittel. Die Patienten versterben innerhalb von 15–20 Jahren.
DOI: 10.3238/MTADIALOG.2016.0400
Dann nutzen Sie jetzt unser Probe-Abonnement mit 3 Ausgaben zum Kennenlernpreis von € 19,90.
Jetzt Abonnent werden
