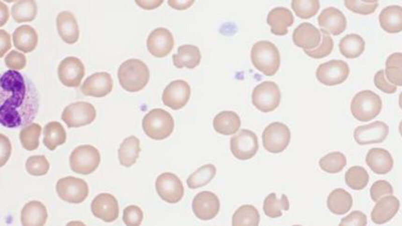
Der pilzförmige Erythrozyt (englisch: mushroom-shaped oder pincered erythrocyte – wie mit einer Zange zusammengedrückt) ist eine Variante, deren charakteristische Form infolge eines Membrandefektes entsteht.
Die kongenitale Sphärozytose ist eine heterogene Erkrankungsgruppe, bei der strukturelle Membrandefekte des Erythrozyten zu einer veränderten Form und Verformbarkeit und damit einhergehend zum vorzeitigen Erythrozytenabbau mit einer mehr oder weniger ausgeprägten Anämie führen.
Entnommen aus MTA Dialog 09/2015
Sie möchten die Zeitschrift abonnieren und auf alle Inhalte zugreifen?
Dann nutzen Sie jetzt unser Probe-Abonnement mit 3 Ausgaben zum Kennenlernpreis von € 19,90.
Jetzt Abonnent werden
