Ratten: Seoul-Virus infiziert Frau in Deutschland
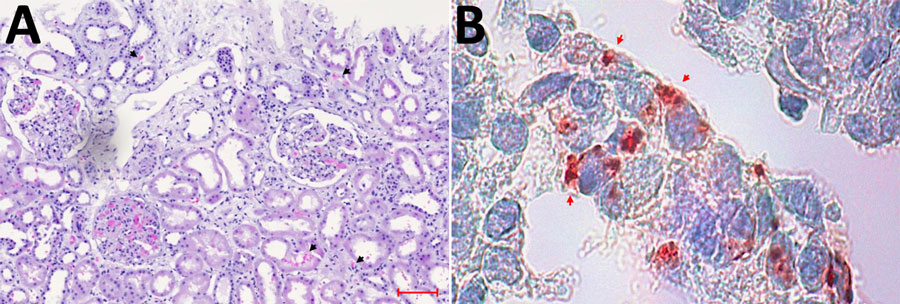
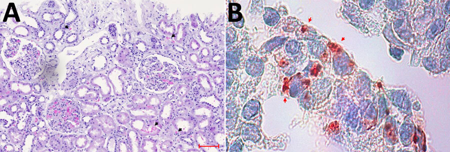
Im März 2024 wurde eine 44-jährige Frau aus Mitteldeutschland mit Fieber, Erschöpfung, Durchfall und akutem Nierenversagen ins Krankenhaus eingeliefert. Sie musste vorübergehend dialysiert werden, erholte sich aber schließlich vollständig. Laboruntersuchungen hatten ergeben, dass sie sich mit dem Seoul-Virus infiziert hatte, höchstwahrscheinlich erworben während eines Besuchs in einer privaten Zucht für Heimtierratten einige Wochen vor Beginn ihrer Symptome. Gemeinsame Untersuchungen der örtlichen Gesundheitsbehörden, des Friedrich-Loeffler-Instituts (FLI) und des Bernhard Nocht-Instituts für Tropenmedizin (BNITM) ergaben, dass das Virus bei mehreren Ratten aus dieser Zucht nachgewiesen werden konnte. Genetische Analysen zeigten eine hohe Übereinstimmung der Virussequenzen aus der Tierhaltung und von der Patientin.

Bisher eher selten Infektionen beim Menschen
Obwohl das Seoul-Virus weltweit vorkommt, sind Infektionen beim Menschen in Deutschland bisher äußerst selten beschrieben worden. Es verbreitet sich hauptsächlich durch das Einatmen winziger Partikel, die mit infiziertem Rattenurin, -kot oder -speichel kontaminiert sind. Eine Übertragung von Mensch zu Mensch ist nicht beschrieben. „Viele Menschen sind sich nicht bewusst, dass Ratten als Heimtiere Viren übertragen können, die schwere Erkrankungen verursachen“, sagt Prof. Rainer Ulrich, Wissenschaftler beim Deutschen Zentrum für Infektionsforschung (DZIF) am FLI und einer der Autoren der Studie. „Eine verantwortungsvolle Haltung beziehungsweise Zucht, gute Tierhygiene und Aufklärung der Bevölkerung – insbesondere der Liebhaber von Heimtierratten – sind entscheidend, um zukünftig weitere Infektionen zu verhindern.“
Bei Differenzialdiagnose auch an Ratten denken
„Die Aufmerksamkeit der behandelnden Ärzte und die enge Zusammenarbeit von Gesundheits- und Veterinärbehörden haben wesentlichen Anteil an der Aufklärung dieses Erkrankungsfalls“, ergänzt Dr. Mario Hönemann vom Institut für Medizinische Mikrobiologie, Virologie und Infektionsepidemiologie am UKL. Die Forscherinnen und Forscher mahnen eine verstärkte Kontrolle von Rattenhaltungen und -zuchten, eine verbesserte Hygiene in Zuchtanlagen sowie eine Aufklärung der Öffentlichkeit über die mit der Haltung der Ratten verbundenen Erkrankungsrisiken an. Immungeschwächte Personen und andere gefährdete Gruppen sollten keine Ratten als Heimtiere halten. „Wir empfehlen zudem, Patient:innen mit ungeklärtem Fieber, Nierenbeteiligung oder Blutungserscheinungen gezielt nach Kontakt zu Nagern, auch Heimtierratten, zu fragen“, so Fabian Baalmann und Johannes Münch von der Klinik und Poliklinik für Endokrinologie, Nephrologie und Rheumatologie des UKL, welche die Patientin unmittelbar am Krankenbett betreuten. Dieser Fall unterstreiche, dass Infektionskrankheiten, die zwischen Tieren und Menschen übertragen werden, einen vereinenden „One Health“-Ansatz erfordern, der die Gesundheit von Menschen, Tieren und Ökosystemen gemeinsam in den Blick nimmt. Neben dem Seoul-Virus sind hierzulande auch Übertragungen von Leptospira spp., des Kuhpockenvirus und des Rattenbissfieber-Erregers Streptobacillus moniliformis durch Ratten nachgewiesen worden [2].
Quelle: idw/DZIF
Artikel teilen




