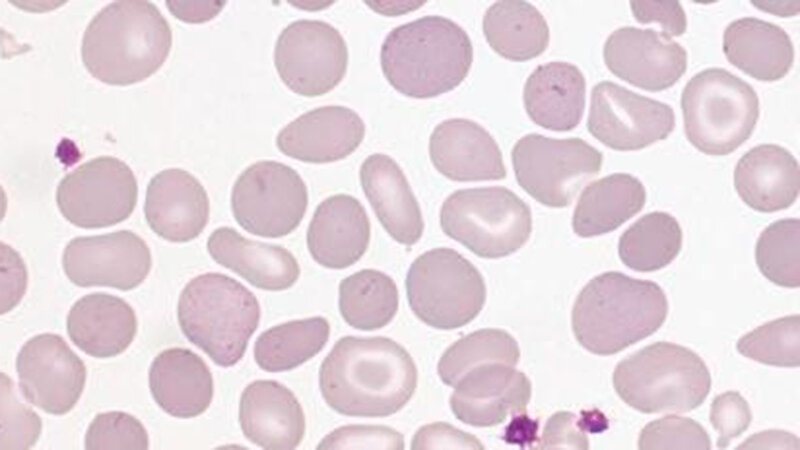
Die Targetzelle, auch Schießscheibenzelle, Kokardenzelle oder Leptozyt genannt (englisch: target cell, codocyte, leptocyte, mexican hat cell), ist eine Formvariante des Erythrozyten, die dadurch charakterisiert ist, dass sie infolge einer veränderten Membranstruktur am Rand und im Zentrum Hämoglobin enthält, während der Bereich dazwischen hämoglobinfrei ist, so dass der Erythrozyt im Ausstrich einer Schießscheibe ähnelt. Elektronenmikroskopisch hingegen stellt sich die Targetzelle häufig als Folge der zentralen, hernienartigen Membranvorwölbung glockenförmig dar.
Entnommen aus MTA Dialog 08/2015
Dann nutzen Sie jetzt unser Probe-Abonnement mit 3 Ausgaben zum Kennenlernpreis von € 19,90.
Jetzt Abonnent werden
