Dafür wird er von der Deutschen Forschungsgemeinschaft (DFG) im Rahmen eines Reinhard Koselleck-Projekts mit 1,5 Millionen Euro gefördert. Forscherinnen und Forscher um Prof. Hennig hatten vor wenigen Jahren eine Methode entwickelt, mit der fMRT-Messungen zur Untersuchung des Gehirns 25 Mal schneller als bislang möglich sind. Nun möchten die Forscher die räumliche Auflösung des Verfahrens verbessern, um so Veränderungen in Anatomie und Aktivität, etwa kurz nach einem Schlaganfall, „live“ beobachten zu können. Die DFG fördert mit Koselleck-Projekten besonders innovative Projekte ausgezeichneter Wissenschaftlerinnen und Wissenschaftler.
Ein MRT-Helm ermöglicht schnelle Messungen
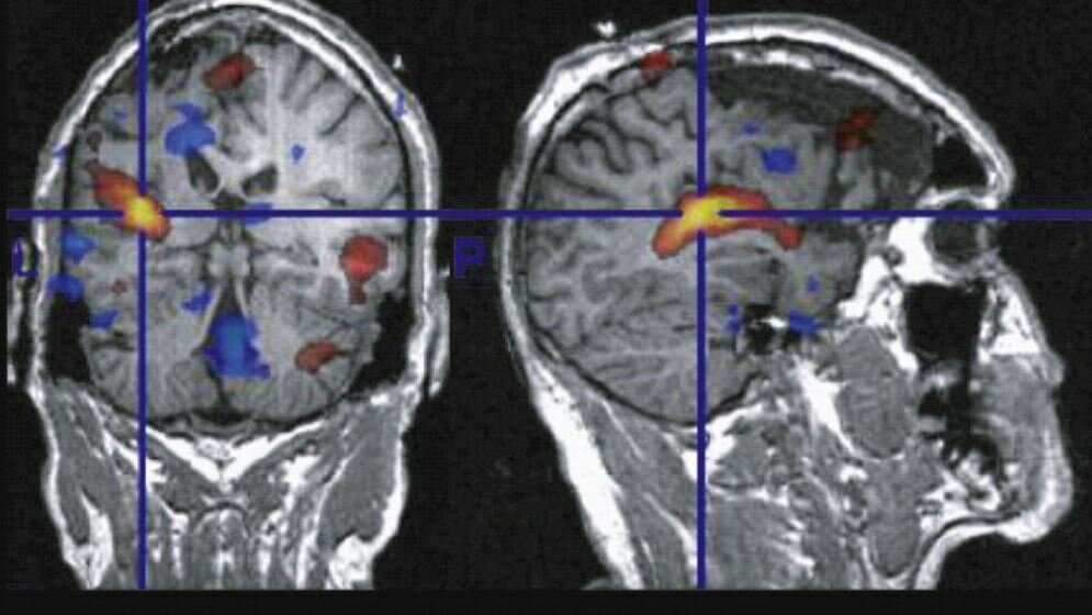
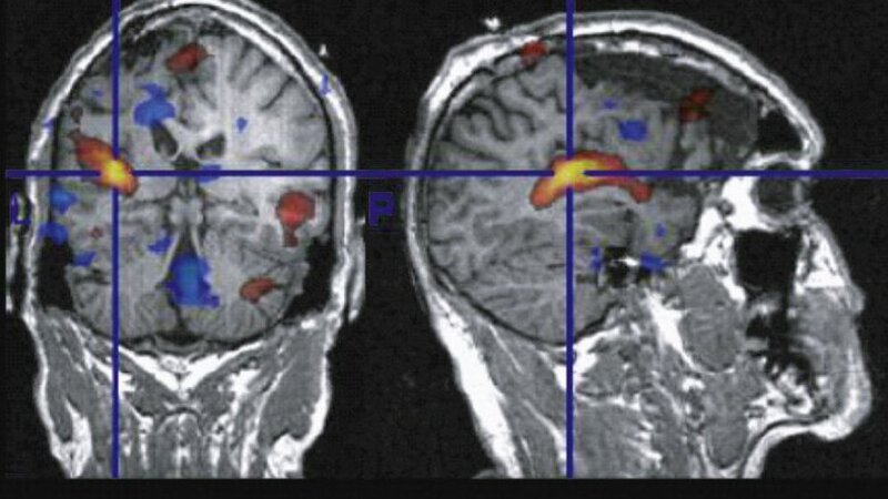
Für die Darstellung anatomischer Strukturen im MRT wird bislang ein sogenanntes graduelles Magnetfeld benötigt. Dieser Gradient muss nach jeder Messung neu aufgebaut werden, was je nach gewünschter Auflösung einige Sekunden bis mehrere Minuten dauert. Schnelle Prozesse lassen sich daher schlecht darstellen. Vor wenigen Jahren hat das Team um Prof. Hennig einen Ansatz entwickelt, bei dem auf das graduelle Magnetfeld verzichtet wird und die MRT-Signale direkt gemessen werden können. Kernstück der Methode ist ein Helm mit bis zu 95 kleinen Empfangsspulen. Das Signal einer Spule kann jeweils dem Hirnbereich direkt unter der Spule zugeordnet werden. „Damit ist es uns gelungen, eine Messung des gesamten Gehirns mit einer Auflösung von drei Millimetern in einer Zehntelsekunde durchzuführen. Von diesem Erfolg waren wir selbst überrascht“, sagt Prof. Hennig.
In dem nun anlaufenden Projekt möchten die Forscher die Strukturen des Gehirns auf zwei Millimeter genau darzustellen. „Das klingt nicht viel, erlaubt aber völlig neue Anwendungsbereiche, etwa die detaillierte Beobachtung des Gehirns nach einem Schlaganfall“, sagt Prof. Hennig. Außerdem möchten die Forscher klären, ob die Methode schnell und präzise genug ist, um damit in Echtzeit Prothesen zu steuern. Bereits heute wird das Verfahren bei Epilepsie-Patienten zur Lokalisierung der Anfallsherde genutzt. Bislang müssen den Patienten dafür in einer neurochirurgischen Operation Elektroden auf der Gehirnoberfläche implantiert werden. „Unsere Messmethode könnte helfen, den Patienten diesen sehr aufwändigen Eingriff in Zukunft zu ersparen“, sagt Prof. Hennig.
Neben Prof. Hennig waren unter anderem Prof. Dr. Julia Jacobs, Klinik für Neurochirurgie, und Dr. Pierre LeVan, Abteilung für Medizinphysik des Universitätsklinikums Freiburg, maßgeblich an der Entwicklung beteiligt. Die Forscher haben dafür bereits eine Reihe außergewöhnlicher Förderungen und Ehrungen erhalten, unter anderem die höchstdotierte Projektförderung der EU sowie einen German High Tech Championship-Award für die Entwicklung des fMRT-Helms. Prof. Hennig gilt international als einer der maßgeblichen Entwickler der Magnetresonanztomographie für den klinischen Einsatz. (idw, red)
Artikel teilen

