Fast jeder zweite Patient mit Aderhautmelanom verstirbt an den Folgen der frühen Streuung von Krebszellen in andere Organe. Dr. M. Zeschnigk hat mit Forschern der Institute für Humangenetik/Neuropathologie verschiedene in der Routine zulässige Untersuchungen entwickelt, mit deren Hilfe schon früh mit erstaunlich hoher Genauigkeit vorhergesagt werden kann, ob ein Patient mit Aderhautmelanom langfristig geheilt ist.
Der Tumor kann meist erfolgreich aus dem Auge entfernt werden. Nicht selten haben sich jedoch bereits vor der Behandlung Krebszellen an anderen Stellen des Körpers angesiedelt. Dort können diese Zellen zu Metastasen heranwachsen, nicht selten auch viele Jahre nach der Therapie des Tumors im Auge. Insgesamt verstirbt jeder zweite Patient mit Aderhautmelanom im Laufe der folgenden Jahre an einer Metastasierung.
Herkömmliche Methoden nicht geeignet
Mit herkömmlichen Methoden, z.B. mit dem Mikroskop, sind Aderhautmelanome, die zu einer metastasierenden Erkrankung führen können, nicht von nicht-metastasierenden Aderhautmelanomen zu unterscheiden. Erst mit aufwändigen Untersuchungen der Erbsubstanz der Tumorzellen konnten die entscheidenden Erkennungsmerkmale für das Metastasierungsrisiko entdeckt werden [2, 3]. Die genetischen Untersuchungen ermöglichen die Erkennung von Untergruppen des Aderhautmelanoms, die sich bezüglich ihres Metastasierungsrisikos unterscheiden [2]. Eine vollständige genetische Untersuchung der Erbsubstanz von Tumorzellen ist für den klinischen Alltag jedoch zu aufwändig und daher wurden alternative Verfahren entwickelt.
In Körperzellen werden Gene in Eiweißmoleküle umgeschrieben. Ist nun ein Gen in einer Tumorzelle defekt, kann das entsprechende Eiweiß im Tumor oft nicht mehr korrekt gebildet werden. Es war das Ziel der Studie, ein Eiweißmolekül zu finden, dessen Nachweis zwischen metastasierenden und nicht metastasierenden Tumorzellen unterscheidet und somit die genetische Untersuchung ersetzen oder ergänzen kann. Solche Eiweißmoleküle werden heute meist mit der Methode der Immunhistochemie im Gewebe angefärbt. Ein guter Kandidat für ein solches Eiweißmolekül war das BAP1-Genprodukt, da das entsprechende Gen in den Tumoren defekt ist, die bei den Patienten zu einer Streuung der Tumorzellen geführt haben. Um diese Annahmen zu prüfen, wurde das BAP1-Mutationsspektrum in einer Gruppe von 65 Aderhautmelanomen sehr umfangreich ermittelt und die BAP1-Färbung mit der Immunhistochemie durchgeführt. Außerdem wurde der Krankheitsverlauf der Patienten über mehrere Jahre genauestens verfolgt und sowohl das Todesdatum als auch die Todesursache dokumentiert.
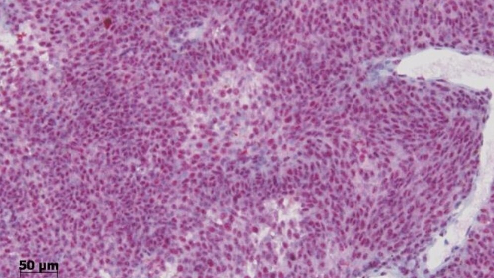
Färbung ermöglicht Unterscheidung
Es zeigt sich, dass die Färbung mittels Immunhistochemie es ermöglicht eindeutig zwischen zwei unterschiedlichen Aderhautmelanomen zu unterscheiden. Während sich die Tumore ohne BAP1 Mutation sehr deutlich anfärben ließen (siehe Abbildung), werden die Tumore die ein defektes BAP1-Gen besitzen durch BAP1-Immunhistochemie nicht angefärbt. Der Vergleich mit den Überlebensdaten der Patienten zeigte, dass die BAP1-Färbung sehr gut geeignet ist, um Tumore mit einem sehr hohen oder sehr niedrigen Risiko zur Metastasierung unterscheiden zu können. Ein Vorteil dieses Verfahrens ist, dass der Nachweis dieses Eiweißmoleküls im Rahmen der Routineuntersuchung des Tumormaterials in der Pathologie mit relativ wenig zusätzlichem Aufwand durchgeführt werden kann.
Zurzeit gibt es keine effektive Therapie für das bereits metastasierte Aderhautmelanom. Sollte in Zukunft eine sogenannt adjuvante Therapie verfügbar sein, also eine Behandlung der Metastasen noch bevor sie erkennbar sind, können mit Hilfe des hier etablierten Tests die Patienten identifiziert werden, die von dieser Therapie profitieren können. Patienten die kein oder ein sehr geringes Risiko tragen, Metastasen zu entwickeln, kann im Gegenzug die Behandlung und somit gegebenenfalls auftretende Nebenwirkungen erspart werden. (idw, red)
Hintergrundinformation:
Die Wilhelm Sander-Stiftung hat dieses Forschungsprojekt mit rund 72.000 Euro unterstützt. Stiftungszweck ist die Förderung der medizinischen Forschung, insbesondere von Projekten im Rahmen der Krebsbekämpfung. Seit Gründung der Stiftung wurden insgesamt über 220 Millionen Euro für die Forschungsförderung in Deutschland und der Schweiz bewilligt. Die Stiftung geht aus dem Nachlass des gleichnamigen Unternehmers hervor, der 1973 verstorben ist.
Literatur:
1. Comparing the prognostic value of BAP1 mutation pattern, chromosome 3 status and BAP1 immunohistochemistry in uveal melanoma. Johannes A.P. van de Nes, Jasmin Nelles, Stefan Kreis, Claudia H.D. Metz, Thomas Hager, Dietmar R. Lohmann, Michael Zeschnigk. American Journal of Surgical Pathology. Akzeptiert, 2016.
2. Exome sequencing identifies recurrent somatic mutations in EIF1AX and SF3B1 in uveal melanoma with disomy 3. Marcel Martin, Lars Maßhöfer, Petra Temming, Sven Rahmann, Claudia Metz, Norbert Bornfeld, Johannes van de Nes, Ludger Klein-Hitpass, Alan G Hinnebusch, Bernhard Horsthemke, Dietmar R Lohmann and Michael Zeschnigk. Nat Genet. 2013 August; 45(8): 933–936.
3. Prognostic implications of monosomy 3 in uveal melanoma. Prescher G, Bornfeld N, Hirche H, Horsthemke B, Jöckel KH, Becher R (1996) Lancet 347(9010): 1222-5.
Artikel teilen


