Was Stammzellen zu perfekten Alleskönnern macht

Behandlung von Knochenbrüchen
Kli
Zellen
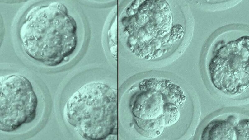
Wenige Tage alte embryonale Zellhaufen: Pramel7 befreit das Erbgut der Stammzellen von epigenetischen Markierungen (links). Fehlt das Eiweiß, sterben die Embryonen ab (rechts). ( P. Cinelli, USZ
Newsletter­anmeldung

Bleiben Sie auf dem Laufenden. Der MT-Dialog-Newsletter informiert Sie jede Woche kostenfrei über die wichtigsten Branchen-News, aktuelle Themen und die neusten Stellenangebote.

Formularfelder Newsletteranmeldung

* Pflichtfeld

Forschende der Universität Zürich und des Universitätsspitals Zürich haben das Eiweiß entdeckt, das natürliche embryonale Stammzellen befähigt, sämtliche Körperzellen zu bilden.

Weil Stammzellen das Potenzial haben, sich in die verschiedenen Zelltypen des Körpers zu entwickeln, gelten sie als biologische Alleskönner. Doch für die Mehrzahl der Stammzellen greift diese Bezeichnung zu weit. So können erwachsene Stammzellen etwa bei Verletzungen zwar Zellen in ihrem Gewebe ersetzen, aber eine Fettstammzelle wird niemals eine Nerven- oder Lungenzelle hervorbringen. Die Wissenschaft unterscheidet deshalb zwischen den multipotenten erwachsenen Stammzellen und den tatsächlichen Alleskönnern – den pluripotenten embryonalen Stammzellen.

Doch sogar unter den wahren Alleskönnern gibt es Unterschiede. Embryonale Stammzellen, die in Zellkulturen im Labor wachsen, befinden sich in einem anderen Zustand als die Zellen, die man nur während der ersten Tagen im Inneren des Zellhaufens findet, aus dem der gerade erst entstehende Embryo besteht. Jetzt zeigen Forschende um Paolo Cinelli vom Universitätsspital Zürich und Raffaella Santoro von der Universität Zürich im Fachblatt Nature Cell Biology, mit welchem Mechanismus sich die natürlichen Alleskönner von den embryonalen Stammzellen in den Kulturen abheben.

Im Zentrum ihrer Entdeckung steht ein Eiweiß namens Pramel7 (für «preferentially expressed antigen in melanoma»-like 7), das in den Zellen des wenige Tage alten embryonalen Zellhaufens dafür sorgt, dass das Erbgut von epigenetischen Markierungen – das sind chemische DNA-Anhängsel in der Form von Methylgruppen – befreit wird. «Je mehr Methylgruppen entfernt werden, desto offener ist das Buch des Lebens», sagt Cinelli. Weil aus einer embryonalen Stammzelle jegliche Zelle des menschlichen Körpers entstehen kann, müssen zu Beginn auch alle Gene frei zugänglich sein.

Pramel7 scheint eine lebenswichtige Rolle zu spielen

Je mehr sich eine Zelle entwickelt oder ausdifferenziert, desto stärker wird ihr Erbgut wieder methyliert und «zugeklebt». So seien etwa in einer Knochenzelle nur noch diejenigen Gene aktiv, die die Zelle für ihre Funktion benötige, erklärt der Biochemiker.

Pramel7 scheint trotz seiner kurzen Wirkungsdauer von wenigen Tagen eine lebenswichtige Rolle zu spielen: Als die Forschenden um Cinelli und Santoro das Gen für dieses Eiweiß mit gentechnischen Tricks ausschalteten, blieb die Entwicklung im Stadium des embryonalen Zellhaufens stecken. Doch in den kultivierten Stammzellen kommt Pramel7 kaum vor. Das könnte auch erklären, wieso das Erbgut dieser Zellen mit mehr Methylgruppen versetzt sei als das Erbgut in den natürlichen embryonalen Stammzellen – den perfekten Alleskönnern, meint Cinelli.

Sein Interesse an den Stammzellen rührt von der Hoffnung her, dereinst Menschen mit komplexen Knochenbrüchen damit helfen zu können. «Knochen können sich zwar super regenerieren und sind das einzige Gewebe, das dabei keine Narben bildet», sagt Paolo Cinelli. Aber die Knochenstümpfe müssen sich berühren, damit sie zusammenwachsen können. Wenn etwa bei einem Motorradunfall ein Knochen mehrfach breche und auch an die Oberfläche trete, sei der mittlere Teil oft nicht mehr brauchbar. Für diese Fälle brauche es dann einen Knochenersatz. Sein Team forscht an Trägermaterialien, die sie in Zukunft mit körpereigenen Stammzellen besiedeln möchten. «Deshalb müssen wir wissen, wie Stammzellen funktionieren», schließt Cinelli.

Literatur:

Urs Graf, Elisa A. Casanova, Sarah Wyck, Damian Dalcher, Marco Gatti, Eva Vollenweider, Michal J. Okoniewski, Fabienne A.Weber, Sameera S. Patel, Marc W. Schmid, Jiwen Li, Jafar Sharif, Guido A. Wanner, Haruhiko Koseki, JieminWong, Pawel Pelczar, Lorenza Penengo, Raffaella Santoro, and Paolo Cinelli. Pramel7 mediates ground-state pluripotency through proteasomal-epigenetic combined pathways. Nature Cell Biology. 12 June 2017. doi:10.1038/ncb3554

 Quelle: UZH, 27.06.2017




Artikel teilen

Online-Angebot der MT im Dialog

Um das Online-Angebot der MT im Dialog uneingeschränkt nutzen zu können, müssen Sie sich einmalig mit Ihrer DVTA-Mitglieds- oder Abonnentennummer registrieren.

Stellen- und Rubrikenmarkt

Möchten Sie eine Anzeige in der MT im Dialog schalten?

Stellenmarkt
Industrieanzeige