Premium
Bildgebende Verfahren
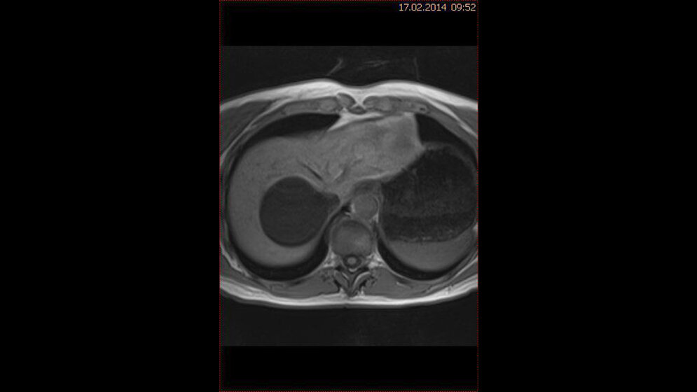
Zufallsbefunde: Leberzysten
Schnittbilddiagnostik der Wirbelsäule (7.21)
In vorausgegangenen Beiträgen dieser Serie wurden schon zahlreiche Zufallsbefunde im Abdomen bei Schnittbilduntersuchungen der Lendenwirbelsäule beschrieben. Dabei hat insbesondere die MRT das Potenzial und Vorteile gegenüber der Computertomographie, angrenzende innere Organe zumindest teilweise zu erfassen.
Zusammenfassung
Zystische Läsionen der Leber kommen in der klinischen Praxis relativ häufig vor. Sie können als twicklungsbedingte, neoplastische, infektiöse, entzündliche oder andere Läsionen klassifiziert werden. Im Ultraschall, der CT und MRT haben die Zysten spezifische Kennzeichen.
Entnommen aus MTA Dialog 10/2014
Sie möchten die Zeitschrift abonnieren und auf alle Inhalte zugreifen?
Dann nutzen Sie jetzt unser Probe-Abonnement mit 3 Ausgaben zum Kennenlernpreis von € 19,90.
Jetzt Abonnent werden
