Anomalien und Normvarianten
Zusammenfassung
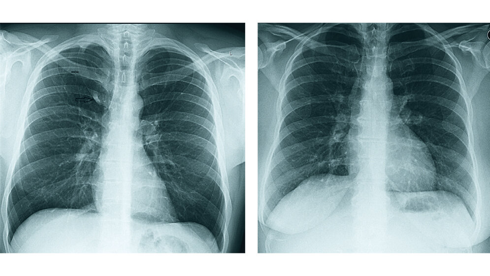
Die Pleura ist in entzündliche, neoplastische und traumatische Erkrankungen involviert. Es wird die Diagnostik der Anomalie der V. acygos und Pleura mit unterschiedlichen bildgebenden Techniken beschrieben.
Schlüsselwörter: Lobus venae acygos, Pleura, Röntgen, Multislice-CT
Abstract
The pleura is commonly involved in inflammatory, neoplastic and traumatic diseases. The article describes the diagnostic of the abnormality of V. acygos and pleura in different imaging techniques.
Keywords: Lobus venae acygos, pleura, x-ray, multislice-CT
DOI: 10.3238/MTADIALOG.2018.0178
Entnommen aus MTA Dialog 03/2018
Dann nutzen Sie jetzt unser Probe-Abonnement mit 3 Ausgaben zum Kennenlernpreis von € 19,90.
Jetzt Abonnent werden
