Anomalien und Normvarianten
Zusammenfassung
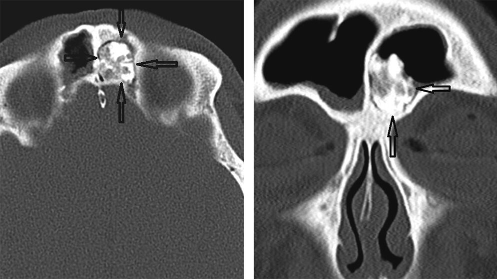
Kraniofaziale Osteome sind langsam wachsende Veränderungen ohne spezifische Wachstumsmuster und seltene Komplikationen. In den meisten Fällen sind die Osteome zufällig bei asymptomatischen Patienten zu finden. Das klinische Verhalten rechtfertigt ein konservatives Vorgehen bei asymptomatischen Läsionen mit radiologischem Follow-up.
Schlüsselwörter: Osteom, Nasennebenhöhlen, Multislice-CT, MRT
Abstract
Craniofacial osteomas are slow-growing lesions with no specific growth pattern and rare complications. In most cases osteomas are diagnosed incidentally in asymptomatic patients. Their clinical behavior is ill defined and justifies a conservative approach toward asymptomatic lesions with close radiological follow-up.
Keywords: Osteoma, paranasal sinus, multislice-CT, MRI
DOI: 10.3238/MTADIALOG.2018.0580
Entnommen aus MTA Dialog 7/2018
Dann nutzen Sie jetzt unser Probe-Abonnement mit 3 Ausgaben zum Kennenlernpreis von € 19,90.
Jetzt Abonnent werden





