Anomalien und Normvarianten einmal anders: alltägliche und nicht alltägliche Artefakte – Teil I
Zusammenfassung
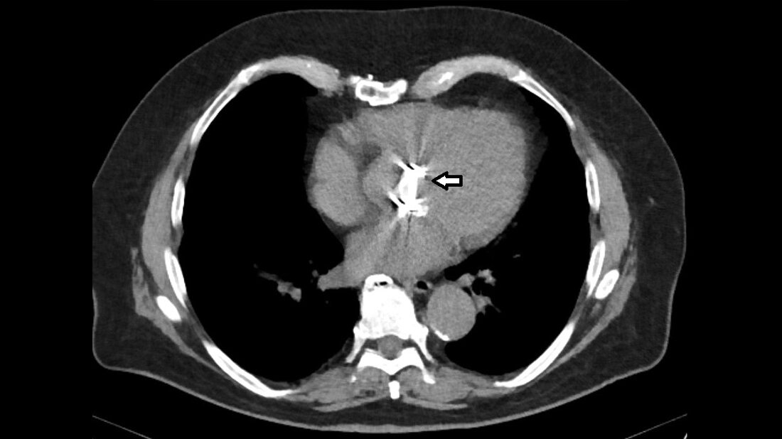
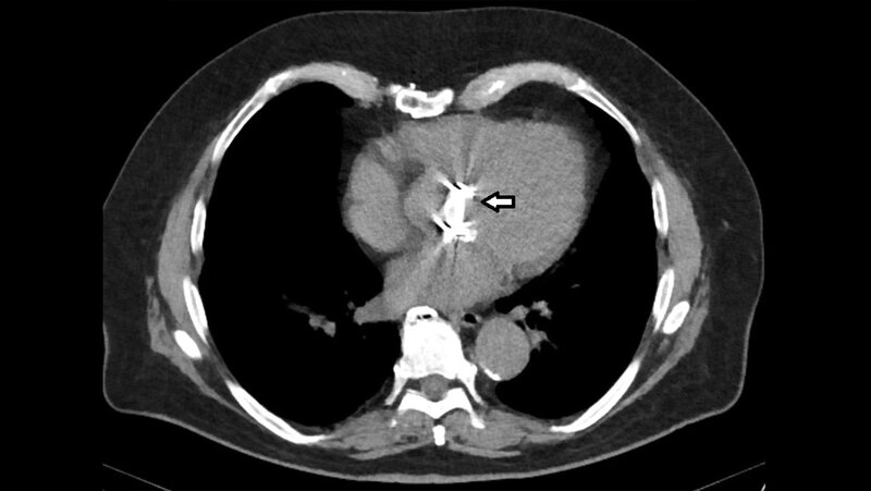
Artefakte können die diagnostische Qualität der Aufnahmen beeinflussen. Auch in der Radiotherapie müssen für eine exakte Therapieplanung die Artefakte reduziert werden. Metallische Implantate können in der Magnetresonanz-Bildgebung erhebliche Artefakte verursachen, insbesondere Signalverluste, Signalverstärkungen, geometrische Verzerrungen und Veränderungen in der Fettsuppression. Die Zusammensetzung des Prothesenmaterials bestimmt das Ausmaß der Artefakte und die Qualität der MR-Aufnahmen. Die Computertomografie hat ebenfalls mit Metallartefakten zu kämpfen. Auch bei der Sonografie sind störende Bildeinflüsse möglich.
Schlüsselwörter: Artefakte, Röntgen, Ultraschall, CT, MRT
Abstract
Artifacts can affect the diagnostic quality of the images. Artifacts must also be reduced in radiotherapy for precise treatment planning. Metallic implants can cause considerable artifacts in magnetic resonance imaging, in particular signal loss, signal pile-up, geometric distortions and fat suppression failure. The composition of the prosthesis material determines the extent of the artifacts and the quality of the MR images. CT also has to contend with metal artifacts. Image quality issues are also possible with ultrasound.
Keywords: artifacts, x-ray, ultrasound, CT, MRI
DOI: 10.53180/MTIMDIALOG.2024.0258
Entnommen aus MT im Dialog 4/2024
Dann nutzen Sie jetzt unser Probe-Abonnement mit 3 Ausgaben zum Kennenlernpreis von € 19,90.
Jetzt Abonnent werden




