Anomalien und Normvarianten: Interne Veränderungen 2.12
Zusammenfassung
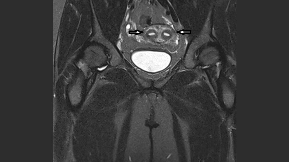
Das Vorkommen uteriner Malformationen in der Bevölkerung liegt bei 2–4 %. Sie können zu Fertilitätsproblemen und Komplikationen während der Schwangerschaft führen. Es gibt zahlreiche urogenitale Anomalien, die mit einem Uterus bicornis assoziiert sind.
Schlüsselwörter: Uterus bicornis, MRT
Abstract
The prevalence of uterine malformations in the general population is 2–4 %. The incidence of uterine malformations leads to impaired fertility and obstetric complications. There are many congenital urogenital anomalies that are associated with the uterus bicornis.
Keywords: Uterus bicornis, MRI
DOI: 10.3238/MTADIALOG.2021.0526
Entnommen aus MTA Dialog 7/2021
Dann nutzen Sie jetzt unser Probe-Abonnement mit 3 Ausgaben zum Kennenlernpreis von € 19,90.
Jetzt Abonnent werden




