Anomalien und Normvarianten - Interne Veränderungen 2.6: Chilaiditi
Zusammenfassung
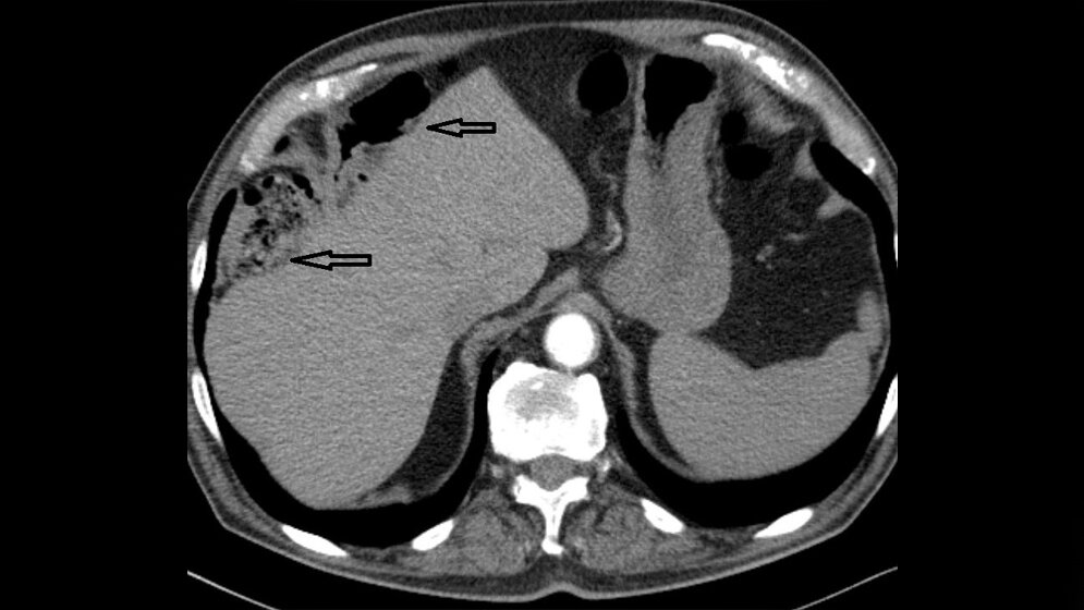
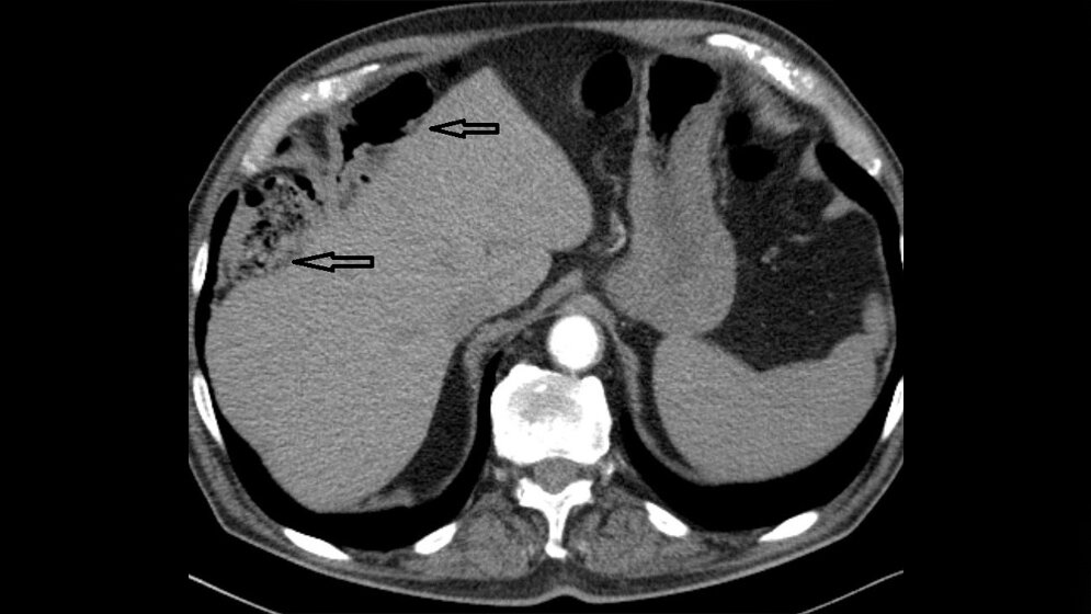
Das Chilaiditi-Zeichen, die Darminterposition zwischen Diaphragma und Leber, ist eine gutartige Veränderung mit ausgesprochen seltener chirurgischer Konsequenz. Die Bedeutung liegt eher in der Differenzialdiagnostik und dem zeitlichen Management ernster Komplikationen. Das Chilaiditi-Syndrom kann intermittierend und episodisch auftreten.
Schlüsselwörter: Chilaiditi-Zeichen, Chilaiditi-Syndrom, CT, MRT
Abstract
Chilaiditi’s sign, the bowel interposition between diaphragm and liver, is a benign condition which rarely requires surgery. Its clinical importance lies in adequate differential diagnostic approach and timely management of potentially serious complications. Chilaiditi syndrome may be intermittent and episodic.
Keywords: Chilaiditi sign, Chilaiditi syndrome, CT, MRI
DOI: 10.3238/MTADIALOG.2019.1076
Entnommen aus MTA Dialog 12/2019
Dann nutzen Sie jetzt unser Probe-Abonnement mit 3 Ausgaben zum Kennenlernpreis von € 19,90.
Jetzt Abonnent werden





