Zusammenfassung
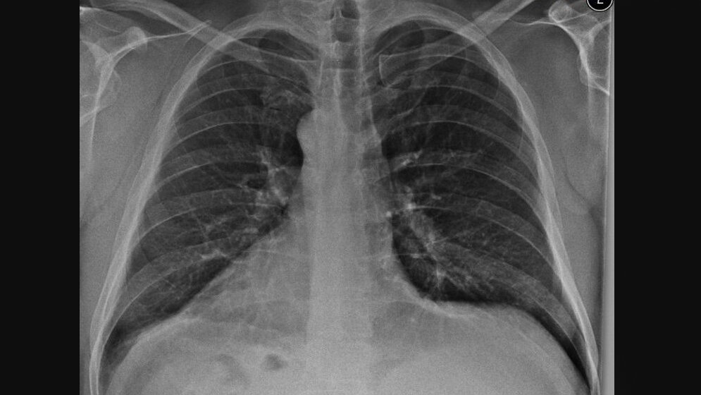
Die Dextrokardie beschreibt ein nach rechts in der Achse gerichtetes Herz. Sie ist vorrangig das Ergebnis einer varianten Entwicklung. Die Dextrokardie kann bei verschiedenen anderen klinischen Veränderungen und im unterschiedlichen Alter der Patienten entdeckt werden.
Schlüsselwörter: Dextrokardie, Röntgen, CT, MRT
Abstract
Dextrocardia is defined as a right-sided heart with a base-apex axis directed rightward. It is resulting from a variation in cardiac development. Dextrocardia can be discovered in various clinical settings and at various patient ages.
Keywords: dextrocardia, x-ray, CT, MRI
DOI: 10.3238/MTADIALOG.2021.0132
Entnommen aus MTA Dialog 2/2021
Dann nutzen Sie jetzt unser Probe-Abonnement mit 3 Ausgaben zum Kennenlernpreis von € 19,90.
Jetzt Abonnent werden
