Anomalien und Normvarianten – Skelettale Veränderungen 3.12
Zusammenfassung
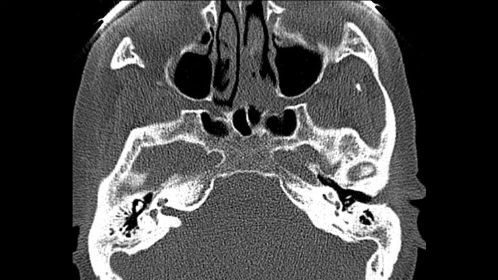
Der Processus mastoideus als Teil des Schläfenbeins zeigt lufthal-tige Zellen mit verschiedenen Varianten. Die Pneumatisation im Bereich der Schädelbasis kann bis okzipital ausgedehnt sein. Es ist eine Normvariante der Pneumatisation des Processus mastoideus.
Schlüsselwörter: Varianten des Mastoids, Röntgen, CT, MRT
Abstract
Processus mastoideus as a part of temporal bone shows cells of pneumatization with several variants. The occipital bone is an accessory site of skull base pneumatization. It is a normal variant of temporal pneumatization.
Keywords: Variants of mastoid, x-ray, CT, MRI
DOI: 10.3238/MTADIALOG.2020.0386
Entnommen aus MTA Dialog 5/2020
Dann nutzen Sie jetzt unser Probe-Abonnement mit 3 Ausgaben zum Kennenlernpreis von € 19,90.
Jetzt Abonnent werden
