Anomalien und Normvarianten: Skelettale Veränderungen 3.16
Zusammenfassung
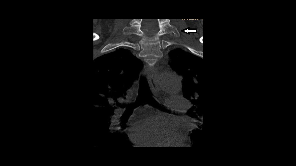
Die Inzidenz der zahlenmäßig varianten Rippenanlagen beträgt 6,3 %. Bei isoliertem Vorkommen handelt es sich um Normvarianten. Zervikale Rippen kommen bei etwa 2 % der Population vor. Sie sind in der Differenzialdiagnose bei supraklavikulären Raumforderungen zu berücksichtigen.
Schlüsselwörter: CT, MRT, Wirbelsäule, zervikale Rippen
Abstract
The incidence of abnormal number of ribs in the normal popula-tion is 6.3 %. When isolated, this finding is a normal variant. The prevalence of cervical ribs is 2 % of patients. Differential diagnosis of a supraclavicular mass includes cervical ribs.
Keywords: CT, MRI, spine, cervical ribs
DOI: 10.3238/MTADIALOG.2020.0778
Entnommen aus MTA Dialog 10/2020
Dann nutzen Sie jetzt unser Probe-Abonnement mit 3 Ausgaben zum Kennenlernpreis von € 19,90.
Jetzt Abonnent werden
