Anomalien und Normvarianten – Skelettale Veränderungen 3.21
Zusammenfassung
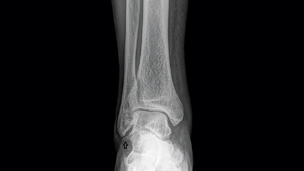
Os subfibulare und subtibiale sind gelegentlich vorkommende akzessorische Knochen des Sprunggelenks. In den meisten Fällen sind sie asymptomatisch. Sie können malleoläre Frakturen vortäuschen. In Fällen von chronischen Schmerzen und Instabilität bei vorliegenden lokalen Akzessoria ist die operative Entfernung die beste Therapie.
Schlüsselwörter: Os subtibiale, Os subfibulare, Röntgen, CT, MRT
Abstract
Os subfibulare and subtibiale are low prevalence accessory bones of the ankle. In most cases they are not associated with symptoms. They can mimicking malleolar fractures. In cases of chronic pain and instability associated with this accessory bones, surgical ex‧cision is the best therapy.
Keywords: os subtibiale, os subfibulare, x-ray, CT, MRI
DOI: 10.3238/MTADIALOG.2021.0898
Entnommen aus MTA Dialog 11/21
Dann nutzen Sie jetzt unser Probe-Abonnement mit 3 Ausgaben zum Kennenlernpreis von € 19,90.
Jetzt Abonnent werden
