Anomalien und Normvarianten: Vaskuläre Veränderungen 1.3
Zusammenfassung
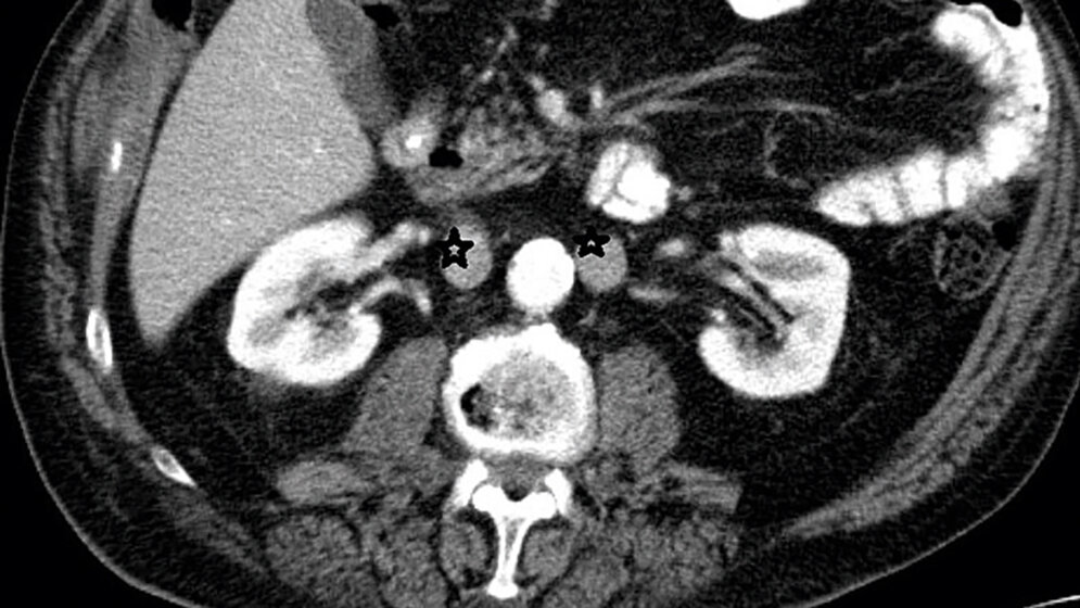
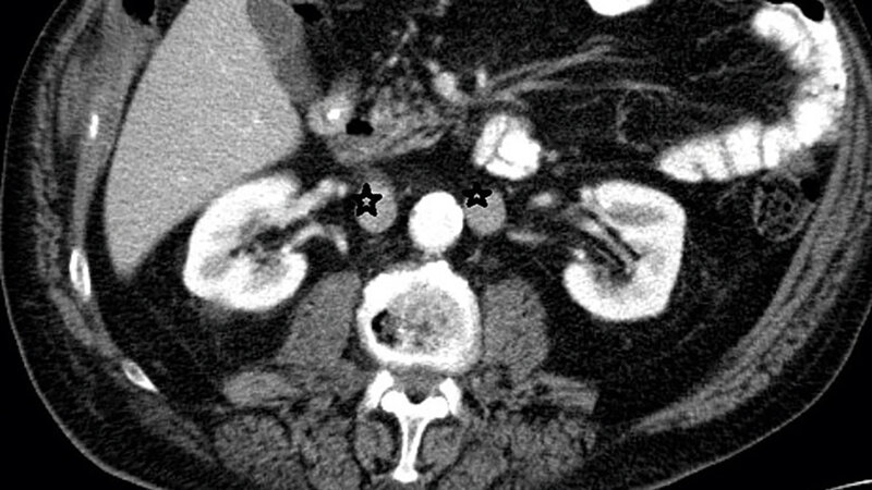
Die Doppelanlage der Vena cava inferior (VCI) ist die am häufigsten vorkommende Anomalie des venösen Gefäßes. Sie hat eine große Bedeutung bei retroperitonealen chirurgischen Eingriffen und venösen radiologischen Interventionen.
Schlüsselwörter: Doppelläufige Vena cava inferior, CT, MRT
Abstract
Duplication of the inferior vena cava (IVC) is the most common anomaly to affect the vena cava. Duplicated IVC has a significant relevance for retroperitoneal surgery and venous interventional radiology.
Keywords: duplication of inferior vena cava, CT, MRI
DOI: 10.3238/MTADIALOG.2019.0578
Entnommen aus MTA Dialog 7/2019
Dann nutzen Sie jetzt unser Probe-Abonnement mit 3 Ausgaben zum Kennenlernpreis von € 19,90.
Jetzt Abonnent werden
