Anomalien und Normvarianten: Zerebrale Malformationen 4.3
Zusammenfassung
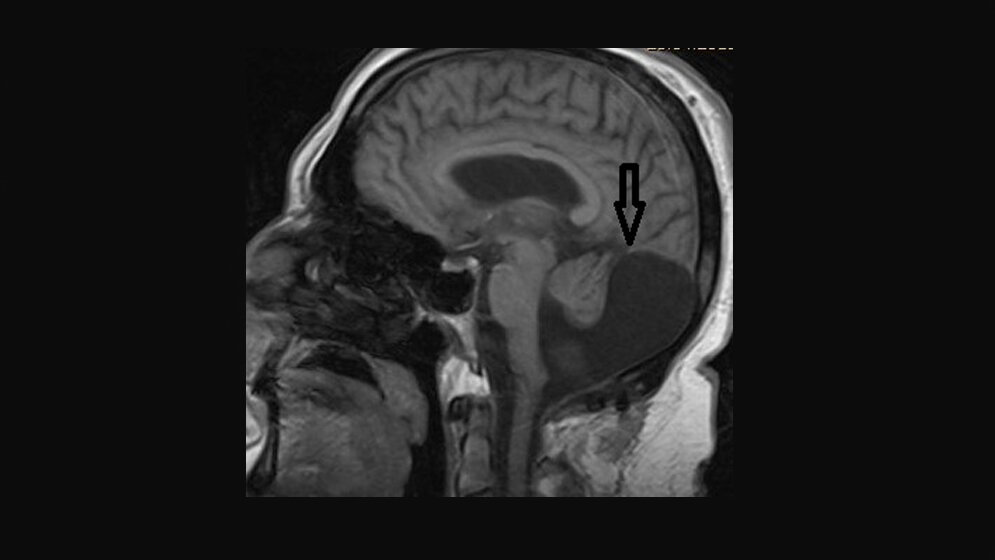
Das Dandy-Walker-Syndrom ist eine der Malformationen der hinteren Schädelgrube. Es ist durch eine Hypoplasie des Vermis cerebelli, zystische Dilatation des 4. Ventrikels und Vergrößerung der hinteren Schädelgrube charakterisiert. Eine Assoziation der Dandy-Walker-Malformation mit einer Syringomyelie ist sehr selten, möglich mit tumorösen Veränderungen.
Schlüsselwörter: CT, MRT, Kopf, Dandy-Walker-Malformation
Abstract
Dandy-Walker syndrome is one of the malformations in the posterior fossa of the head. It is characterized by hypoplasia of the cerebellar vermis, cystic dilatation of the fourth ventricle and enlargement of the posterior fossa. The association between the Dandy-Walker complex and syringomyelia is very rare, possible with tumours.
Keywords: CT, MRI, head, Dandy-Walker malformation
DOI: 10.3238/MTADIALOG.2020.0924
Entnommen aus MTA Dialog 12/2020
Dann nutzen Sie jetzt unser Probe-Abonnement mit 3 Ausgaben zum Kennenlernpreis von € 19,90.
Jetzt Abonnent werden





