
Zusammenfassung
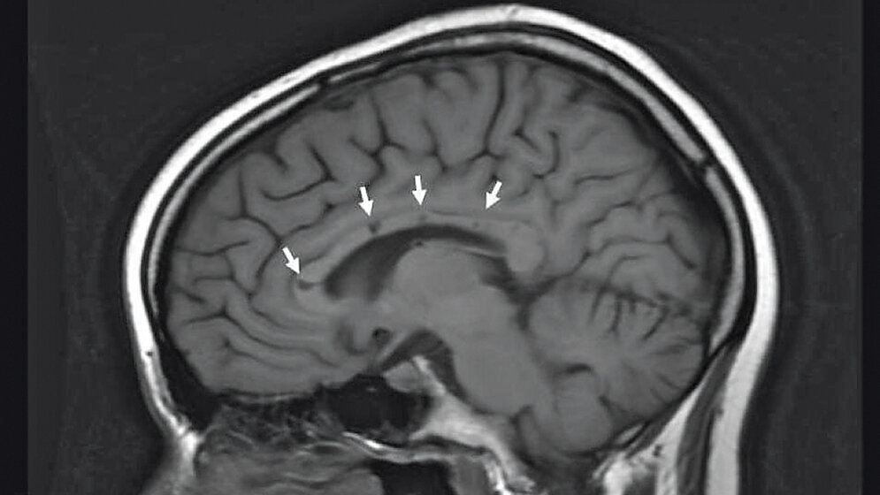
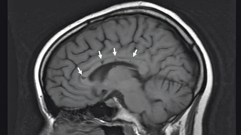
Beim Susac-Syndrom handelt es sich um eine seltene, entzündliche Erkrankung, die wahrscheinlich autoimmun vermittelt ist. Innerhalb weniger Tage kommt es zu Sehstörungen, Schwerhörigkeit und neurologischen Symptomen.
Schlüsselwörter: Autoimmunerkrankung, Sehstörung, Schwerhörigkeit, neurologische Symptomatik
Abstract
Susac syndrome is a rare inflammatory disease, which is probably caused by an autoimmune disorder. Visual disturbances, hearing loss and neurological symptoms occur within a few days.
Keywords: Autoimmune disease, visual disturbances, hearing loss, neurological symptoms
DOI: 10.3238/MTADIALOG.2021.0598
Entnommen aus MTA Dialog 8/2021
Dann nutzen Sie jetzt unser Probe-Abonnement mit 3 Ausgaben zum Kennenlernpreis von € 19,90.
Jetzt Abonnent werden