Die aufregende Welt der Knochenmarksneoplasien und deren reaktive Differenzialdiagnosen
Hier werden täglich 0,2 Billionen Erythrozyten und 10 Milliarden Leukozyten produziert, um die Energieversorgung unserer Organe und die Abwehrfähigkeit unseres Immunsystems sicherzustellen. Es ist nicht zuletzt diese Mammutaufgabe, die das Studium der Knochenmarkspathologie so unheimlich faszinierend macht.
Besuchen Sie den Kurs „Reaktive Veränderungen in Blut und Knochenmark, Anämien, Myeloische Neoplasien“, um mit uns gemeinsam einen Überblick davon zu gewinnen, was eben auch alles schieflaufen kann. Tauchen Sie mit uns ein in die Welt der unübersichtlichen Abkürzungen, wie MPN, MPN-MDS, AML, CMML, aCML, ET, PV, … und lassen Sie uns gemeinsam Ordnung und Systematik in diese faszinierende Thematik bringen.
Die Diagnosestellung hämatologischer Knochenmarkserkrankungen erfordert eine enge interdisziplinäre Zusammenarbeit zwischen der Inneren Medizin (Hämatologie/Onkologie), der Labormedizin und der Pathologie. Kein Fachgebiet kann ohne Mitarbeit der anderen eine korrekte Diagnose stellen und somit den Patientinnen und Patienten eine optimale Therapie zukommen lassen. Methoden der Bewertung peripherer Blutausstriche, Knochenmarksausstriche, Knochenmarksbiopsien, zytogenetische und molekulare Untersuchungen liefern alle wichtigen Indizien, die uns ein Stück näher an das Verständnis der Erkrankungen bringen und letztlich eine optimale Therapie ermöglichen. Für den Kurs „Reaktive Veränderungen in Blut und Knochenmark, Anämien, Myeloische Neoplasien“ stehen Ihnen daher Dozierende aus der Pathologie, Hämatologie und Zytologie zur Seite, welche jahrelange Expertise auf dem Gebiet der Hämatologie erwerben konnten.
Der Unterschied zwischen einer Infektion mit sogenannter leukämoider Reaktion im Knochenmark und einer chronisch myeloischen Leukämie (CML) als häufigste Vertreterin der myeloproliferativen Neoplasien ergibt sich teils nur aus der Integration klinischer Befunde und molekularer Untersuchungen. Morphologische Befunde der peripheren Blutausstriche und Knochenmarksuntersuchungen können sich täuschend ähnlich sein.
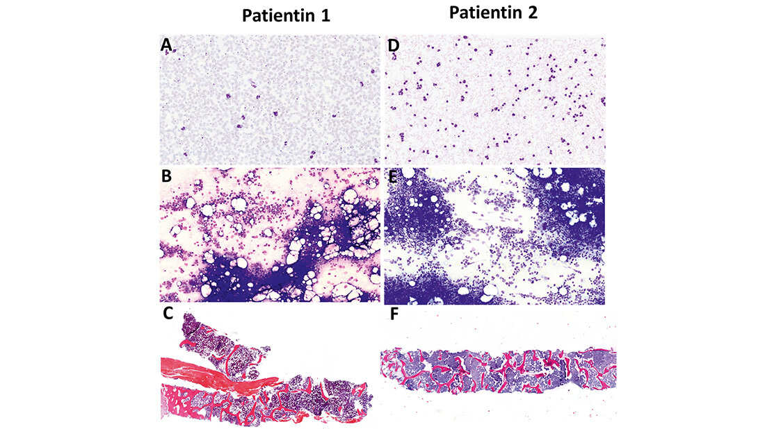
Fehldiagnosen führen hier aber zu ganz gravierenden Fehltherapien und schaden unseren gemeinsamen Patientinnen und Patienten und müssen unbedingt verhindert werden. Abbildung 1 zeigt periphere Blutausstriche (A und D), Knochenmarksaspirate (B und E) und Knochenmarksbiopsien (C und F) einer 50-jährigen (Patientin 1) und einer 49-jährigen (Patientin 2) Patientin. Können Sie die beiden Erkrankungsgruppen zuordnen?
Substratmangel an Folsäure oder Vitamin B12 wiederum können starke Dysplasien aller Zellreihen hervorrufen, die man von dem sogenannten myelodysplastischen Syndrom unterscheiden muss, welches als eine klonale Stammzellerkrankung eine vollkommen andere Therapie nach sich zieht. Rein morphologisch sind diese komplett verschiedenen Erkrankungen aber nur sehr schwer oder gar nicht zu unterscheiden und benötigen dringend die Integration klinischer und zytogenetischer/molekularer Untersuchungen.
Abbildung 2 zeigt Dysplasien der Granulopoese, Erythropoese und Megakaryopoese in peripheren Blutausstrichen (A und D), Knochenmarksaspiraten (B und E) und Knochenmarksbiopsien (C und F) eines 65-jährigen (Patient 1) und eines 70-jährigen (Patient 2) Patienten. Aber welche Erkrankung ist welchem Patienten zuzuordnen?

Solche Fallstricke und noch viele mehr stehen im Zentrum des Kurses und sollen Ihnen Sicherheit bei Ihrer täglichen Arbeit bringen. Dabei werden wir uns die Pathophysiologie der verschiedenen Erkrankungsgruppen an praktischen Fallbeispielen konzeptionell erarbeiten und auf alle relevanten diagnostischen Kriterien und Therapiekonzepte eingehen. Die großen Erkrankungsgruppen der reaktiv-entzündlichen Veränderungen (Leukozytosen, Leukozytopenien, Thrombozytosen, Thrombozytopenien, Anämien), der myeloproliferativen Neoplasien (MPN), der myelodysplastischen Syndrome (MDS) und der MDS-MPN Overlap Syndrome werden dabei vorgestellt und besprochen. Abgerundet wird der Kurs mit der klinisch gefürchteten akuten myeloischen Leukämie und mit einer detaillierten Vorstellung der allogenen Stammzelltransplantation.


Anmeldung zum Kurs
Der 25-stündige Kurs „Reaktive Veränderungen in Blut und Knochenmark, Anämien, Myeloische Neoplasien“ findet vom 17.11. – 19.11.2023 online via ZOOM statt. Die Anmeldung zu dem Kurs erfolgt über unsere Kommunikationsplattform Stud.IP (studip.diw-mta.de/), auf der Sie sich kostenfrei registrieren können.
Weiterführende Informationen – auch zu unseren Weiterbildungen im Bereich der Hämatologie und der Morphologischen Hämatologie – finden Sie unter www.diw-mta.de oder telefonisch zu unseren Sprechzeiten.
Entnommen aus MT im Dialog 10/2023
Artikel teilen

