Zur Krankheit: Multiple Sklerose (MS) ist eine entzündliche Erkrankung des Zentralen Nervensystems (ZNS), von der das Gehirn und das Rückenmark betroffen sind und die im frühen Erwachsenenalter beginnt. Allgemeine Aussagen zum Krankheitsbild oder zum Therapieerfolg lassen sich nur bedingt machen, denn MS ist von Patient zu Patient unterschiedlich. Je nachdem, welche Regionen des Gehirns bzw. des Rückenmarks betroffen sind, können unterschiedliche körperliche Beeinträchtigungen eintreten. Der Name „Multiple Sklerose“ kommt von dem Vorgang der Erkrankung selbst und bedeutet „mehrfache Verhärtung“.
Die Historie: Bereits Anfang des 15. Jahrhundert wurde einer der ersten Fälle von MS dokumentiert. Lidwina von Schiedam, eine 15-jährige Niederländerin aus Schiedam, stürzt beim Schlittschuhlaufen nach plötzlich auftretender Schwäche und bricht sich eine Rippe, das erste Anzeichen ihrer Erkrankung, die sich zunehmend verschlechtert und beide Beine lähmt.
Im frühen 19. Jahrhundert stellten der französische Anatom Jean Cruveilhier und der schottische Pathologe Robert Carswell MS bildlich dar. Sie beschrieben und illustrierten erstmalig die für MS typischen Läsionen des zentralen Nervensystems.
Als erster diagnostizierte Dr. Jean-Martin Charcot, Professor an der Universität von Paris, MS. In den 1860er Jahren behandelte er eine Frau, die an starkem Zittern und Sprachstörungen litt. Nach ihrem Tod fand Charcot Ablagerungen in ihrem Gehirn, bezeichnet hat er diese mit „sclerose en plaques“. Nach Abgleichungen mit seinen Beobachtungen, stellte er MS als eigenständige Krankheit fest.
Entdeckung des Myelin
Myelin umhüllt die Nervenfortsätze und schützt diese vor Schädigungen. Bei MS-Patienten ist das Myelin geschädigt, körpereigene Zellen (Lymphozyten, Makrophagen) greifen dabei die Nervenfasern und/oder die Nervenzellen an. Der französische Wissenschaftler Dr. Louis-Antoine Ranvier fand dies 1878 heraus. Er prägte den Begriff Myelin. Als Erstentdecker des Myelin gilt jedoch Rudolf Virchow (1854). Dr. James Dawson gelang es dann 1916, die Myelinschädigungen und die Entzündungen der Blutgefäße im Gehirn zu beschreiben. Demnach sammeln sich die körpereigenen Zellen an verschiedenen Zellen im ZNS, dort dringen sie ein und zerstören das eigentlich gesunde Myelin (Demyelinisierung). Durch die Zerstörung des Myelins bilden sich entzündliche Läsionen, wie schon von Dr. Jean-Martin Charcot in den 1860er Jahren festgestellt hatte. In diese entzündeten Regionen dringt umliegendes Bindegewebe ein, wodurch die Läsionen vernarben. Durch die Narben wird die Informationsübertragung gestört, Informationen werden verzögert weitergeleitet und Befehle können nur zum Teil oder gar nicht ausgeführt werden.
MS keine Viruserkrankung
Neue Forschungserkenntnisse schaffte der amerikanische Forscher Dr. Thomas Rivas, der 1933 schließlich beweisen konnte, dass MS keine Viruserkrankung ist. Im Tiermodell injizierte er physiologisches Myelin, damit werden MS-typische Symptome (z.B. Spastik und Lähmungen) ausgelöst. Diese Form der Krankheit ist MS sehr ähnlich und wird experimentelle allergische Enzephalomyelitis (EAE) genannt.
Rolle der T-Zellen
1959 entdeckte der amerikanische Neuroimmunologe Dr. Phillip Paterson die Rolle von T-Zellen bei MS. T-Zellen sind an der EAE beteiligt. Wenn diese Immunzellen durch Injektion von einem Tier auf das andere transferiert werden, überträgt sich die Erkrankung. In den 1960er Jahren wurde festgestellt, dass auch die B-Zellen eine Rolle bei MS spielen. Die B-Zellen sind ebenfalls ein Immunzelltyp und befinden sich in der Zerebrospinalflüssigkeit. Während der 1960er und 1970er Jahren wurde – nach Erkenntnissen der T- und B-Zellen - die Rolle des Immunsystems weiter erforscht, wodurch bestätigt wurde, dass MS eine immunvermittelte Erkrankung ist.
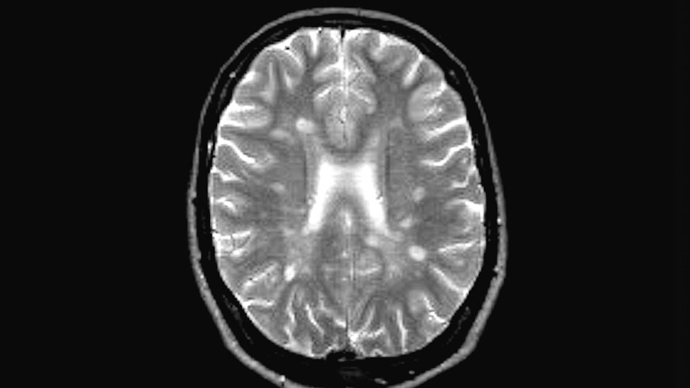
MRT zur Bildgebung
1981 wurde erstmalig durch den britischen Forscher Dr. Ian Young die Magnetresonanztomographie (MRT) zur Bildgebung bei einem MS-Patienten eingesetzt. Um die Empfindlichkeit der MRT-Aufnahmen zu erhöhen, wird „Gadolinium“ (Kontrastmittel) gespritzt. Dieses reichert sich in Entzündungsherden an, die erst kürzlich entstanden sind, wodurch sie besser zu erkennen sind, denn genau nach diesen Läsionen wird gesucht. Ein MRT kann die MS-Diagnose stützen und die Erkrankung auf ihrem Verlauf kontrollieren. Anzeichen für die Erkrankung konnten schon nach dem ersten Scan im MRT festgestellt werden. Auch wenn der Patient noch keine Symptome hat, kann die Erkrankung mit Hilfe des MRTs gesehen werden. Gerade in frühen Phasen der Erkrankung kann der Arzt anhand der Größe und der Zahl der Läsionen erkennen, ob mit einer Therapie begonnen werden sollte.
EDSS-Skala zur Messung einer Behinderung
Zur Messung einer Behinderung entwickelte der Neurologe John Kurtzke 1983 die EDSS-Skala (Expanded Disability Status Scale). Bei der Untersuchung von MS-Patienten bewerten Parameter vom Grad 0,0 bis 10 u.a. die Sehfunktion, die Motorik und das Gehvermögen.
Erste MS-Therapien können die Erkrankung nicht heilen, aber sie können MS-Zeichen und Symptome kontrollieren. In den 1990er Jahren wurden dafür erstmalig verschiedene injizierbare Arzneimittel zur Reduktion der Schubrate, z.B. bei Patienten mit schubförmiger MS (RMS – die häufigste Form der MS) zugelassen. Seitdem sind weitere Arzneimittel auf den Markt gekommen, die die Behinderungsprogression verlangsamen. Die meisten neuen Arzneimittel richten sich mit verschiedenen Wirkmechanismen und Verabreichungsarten gegen die Funktion der T-Zellen als primäres Wirksamkeitsprinzip. Trotz der Erfolge gibt es keine zugelassenen Therapien für die primär progrediente Form der MS.
„Die schubförmig remittierende Multiple Sklerose (RRMS) macht 85 % der Fälle im frühen Stadium aus. Charakteristisch sind abgesetzte Schübe, die sich im Allgemeinen über Tage oder Wochen entwickeln (selten über Stunden). Oft kommt es im Verlauf der folgenden Wochen oder Monate zur kompletten Remission.“ (Harrisons) Die primär-progrediente MS ist von Beginn an voranschreitend ohne Erkrankungsschübe.
Bis heute geht die Suche nach Innovationen weiter. Es wird intensiv nach Therapiemöglichkeiten und der Erkrankung der MS geforscht. Die neusten Erkenntnisse unterstreichen die wichtige Rolle der B-Zellen beim Fortschreiten der MS.
Quellen:
• https://www.roche.de/
• http://www.apotheken-umschau.de/
• http://www.multiple-sklerose-rw.de/
• http://www.msundich.de/
• Harrisons Innere Medizin, Band 3
Artikel teilen






