Zusammenfassung
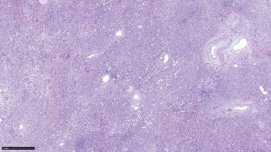
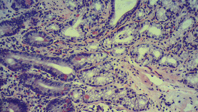
Die paarig angelegten Nieren wiegen zusammen circa 250–300 g und sind das Klärwerk des Körpers. Es fließen täglich bis zu 1.800 L Blut durch sie hindurch. Eine Reihe von benignen und malignen Erkrankungen können in der Niere auftreten. Das häufigste Karzinom in der Niere ist das Nierenzellkarzinom, ein epithelialer Tumor. Bei der Unterscheidung zwischen benignen und malignen Erkrankungen spielt die Pathologie eine wichtige Rolle, wobei die Immunhistochemie eine zuverlässige Methode bei der Differenzialdiagnose ist.
Schlüsselwörter: Niere, Nierenerkrankungen, Nierenzellkarzinom, Differenzialdiagnose, Immunhistochemie
Abstract
The kidneys are arranged in pairs, weigh together 250–300 g and they are the body’s sewage treatment plant. About 1800 L blood flow through the kidney every day. A few benign or malignant diseases can occur in the kidney. The most common carcinoma in the kidney is the renal cell carcinoma, an epithelial tumor. The pathology has an important function in distinguishing between benign and malign diseases, where the immunohistochemistry is a reliable method for differential diagnosis.
Keywords: kidney, kidney diseases, renal cell carcinoma, differential diagnosis, immunohistochemistry
DOI: 10.53180/MTADIALOG.2022.0424
Entnommen aus MTA Dialog 6/2022
Dann nutzen Sie jetzt unser Probe-Abonnement mit 3 Ausgaben zum Kennenlernpreis von € 19,90.
Jetzt Abonnent werden







