Die Prostata
Zusammenfassung
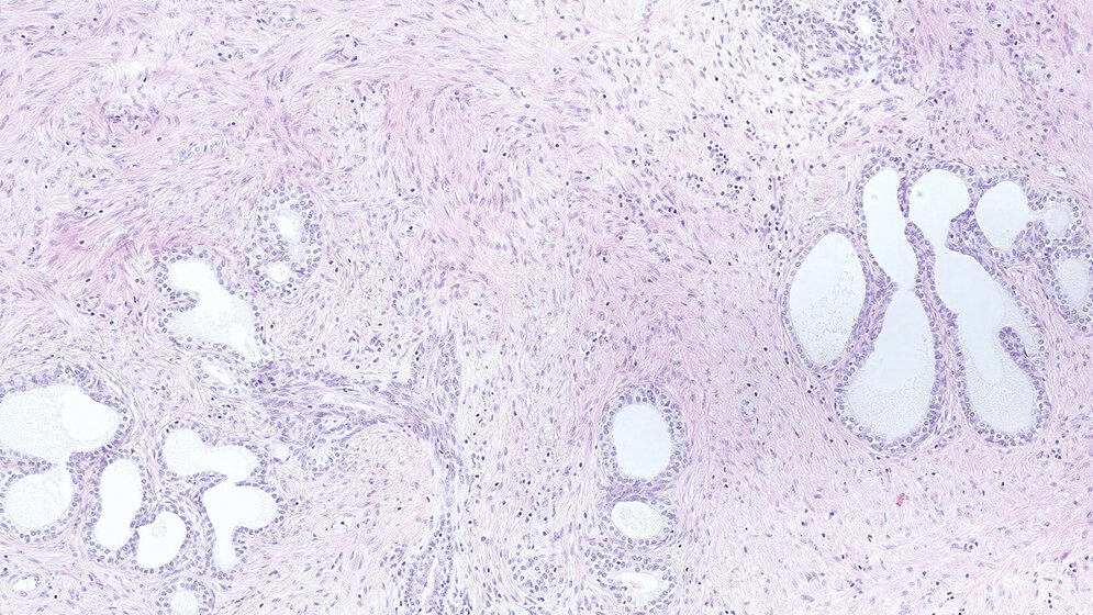
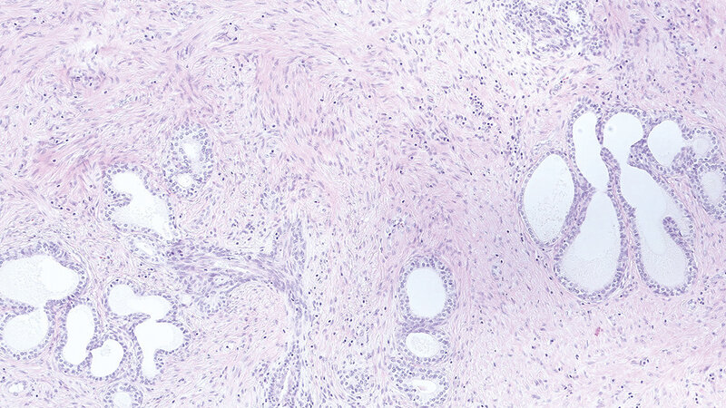
Die Prostata ist ein sehr kleines Organ, das den Männern im Alter allerdings große Probleme bereiten kann. Als Erkrankung ist eine gutartige Prostatavergrößerung im Alter sehr weit verbreitet, aber es gibt auch noch einige weitere benigne und maligne Erkrankungen, die in der Prostata auftreten können. Besonders bei den malignen Erkrankungen kann die Immunhistochemie (IHC) bei der Differenzialdiagnose sehr hilfreich sein.
Schlüsselwörter: Prostata, Prostatahyperplasie, Prostatakarzinom, Differenzialdiagnose, Immunhistochemie
Abstract
The prostate is a small organ, but it can cause big problems for older men. A benign prostatic hyperplasia is common in old age. There are several other benign or malignant diseases that can occur in the prostate. Immunohistochemistry can be helpful in the differential diagnosis, particularly of malignant diseases.
Keywords: Prostate, prostatic hyperplasia, prostate cancer, differential diagnosis, immunohistochemistry
DOI: 10.3238/MTADIALOG.2021.0592
Entnommen aus MTA Dialog 8/2021
Dann nutzen Sie jetzt unser Probe-Abonnement mit 3 Ausgaben zum Kennenlernpreis von € 19,90.
Jetzt Abonnent werden
