Therapien, die Auswirkungen von Erbgutfehlern gezielt im Körper entgegenwirken: Das ist die Absicht der individualisierten Medizin. Damit sie nicht Zukunftsmusik bleibt, müssen Ärzte Genfehler und Störung zunächst kennen und genau verstehen. Bei der Frontotemporalen Demenz haben Neurologen nun eine wichtige Erkenntnis gewonnen. Ein Team um Dr. Matthis Synofzik am Hertie-Institut für klinische Hirnforschung, dem Universitätsklinikum Tübingen und dem Deutschen Zentrum für Neurodegenerative Erkrankungen (DZNE), sowie Professor Dr. Peter Heutink, ebenfalls am DZNE, zeigt, dass eine ganze Bandbreite an Genen zur Erkrankung führen kann – und nicht nur drei wie bisher bekannt. Zur Krankheitsdiagnose und künftig auch individualisierten Therapie sollten Ärzte daher das gesamte Erbgut anschauen. Das Ergebnis veröffentlichen die Hirnforscher nun online im Fachmagazin Genetics in Medicine.
Unterschied zu Alzheimer
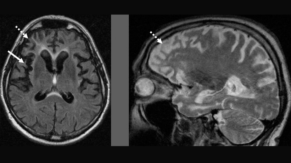
„Zu Beginn der Frontotemporalen Demenz haben Patienten lange Zeit ein intaktes Gedächtnis. Sie fallen vor allem durch Veränderungen im Verhalten und der Sprache auf. Das unterscheidet die Erkrankung von anderen Demenzen, insbesondere der wohl bekanntesten: der Alzheimer-Demenz“, erklärt Studienleiter Dr. Matthis Synofzik. Bei der Krankheitsentstehung ist man bislang davon ausgegangen, dass vor allem Fehler in drei Genen zur Frontotemporalen Demenz führen.
Synofzik und seine Kolleginnen und Kollegen am Hertie-Institut für klinische Hirnforschung, dem Universitätsklinikum Tübingen und dem Deutschen Zentrum für Neurodegenerative Erkrankungen kommen nun zu einem anderen Ergebnis. In einer Gemeinschaftsarbeit untersuchten sie das Erbgut von 121 Patienten. Ihre Erkenntnis: In mehr als einem Drittel der Fälle sind Veränderungen in anderen Genen für die Krankheit verantwortlich. „Für die Diagnose sollte daher unbedingt eine große Anzahl an Genen angeschaut werden, wenn möglich sogar das gesamte Erbgut. Die Untersuchung einzelner hauptverdächtige Gene reicht nicht aus“, sagt Synofzik. Auch in Fällen, in denen in der Familie kein weiterer Betroffener bekannt ist, solle der behandelnde Arzt einen umfangreichen DNA-Test durchführen: Bei diesen Patienten hat etwas mehr als einer von zehn krankheitsauslösende Veränderungen im Erbgut.
Künftig eine Verlangsamung der Krankheit möglich?
Die beteiligten Gene haben Einfluss auf Signalwege im Inneren der Nervenzellen. Je nach Gen handelt es sich um einen anderen Weg mit anderen Auswirkungen. „Was die Genfehler eint, ist, dass sie alle letztendlich dazu führen, dass Nervenzellen im Stirn- und Schläfenbereich des Gehirns absterben“, erklärt Mitautor Professor Dr. Peter Heutink. „Das Gute jedoch ist: Wir glauben, dass wir künftig in einige der Signalwege eingreifen und dadurch die Krankheit verlangsamen können.“ Ausschlaggebend ist, dass der Arzt weiß, welches Gen und Signalweg beim jeweiligen Patient betroffen ist. „Für die Diagnostik und zukünftig die individualisierte Therapie der Frontotemporalen Demenz sollte daher die Untersuchung des gesamten Erbguts an erster Stelle stehen.“ (idw, red)
Blauwendraat C, Wilke C, Simón-Sánchez J, et al. (2017): The wide genetic landscape of clinical frontotemporal dementia: systematic combined sequencing of 121 consecutive subjects. Genetics in Medicine, advanced online publication, DOI: 10.1038/gim.2017.102.
Artikel teilen





