Das Projekt mit dem Namen „Künstliche Intelligenz (KI) für radiologische Bildgebung in der Notfall- und Intensivmedizin“ (KI-RAD) will einen intelligenten Röntgenassistenten entwickeln, der Röntgen- und CT-Bilder automatisch nach wichtigen Informationen absucht. Diese könnten entscheidend für die weitere Versorgung der Patienten sein.
Anfangs drei Anwendungsbereiche
Als kritische Anwendungsbereiche wählte das Projekte Schlaganfälle, Knochenverletzungen und Röntgenthorax aus. Ein intelligenter Röntgenassistent sei besonders in der Notfallmedizin lebensrettend, da er zum einen Dinge schnell erkenne und zum anderen die Mediziner dabei unterstütze, nichts zu übersehen, so Projektkoordinator Dr. Claus-Christian Glüer (Universität zu Kiel).
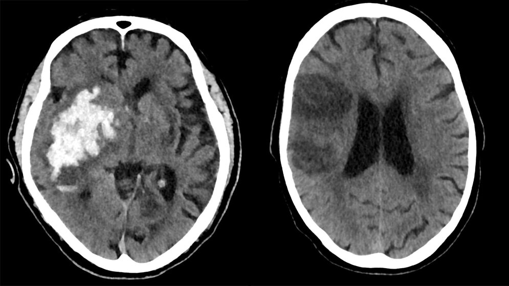
Gerade beim Verdacht auf einen Schlaganfall ist ein schnelles Handeln erforderlich. Eine schnelle Differenzierung, ob ein verschlossenes Blutgefäß oder eine Hirnblutung verantwortlich ist, ist essentiell. Zwar seien laut Glüer die Symptome in beiden Fällen ähnlich, die Konsequenzen unterscheiden sich aber. Liegt ein verschlossenes Blutgefäß vor, müssen spezielle Medikamente schnellstmöglich die Durchblutung des betroffenen Hirnareals wiederherstellen. Bei einer Hirnblutung muss diese gestoppt werden, sodass Schädigungen durch austretendes Blut bestmöglich vermieden werden.
KI soll Nachteile ausgleichen
In Bezug auf Knochenverletzungen soll die KI auf der einen Seite analysieren, ob es sich um eine frische Fraktur oder alte Brüche durch Osteoporose handelt. Auf der anderen Seite soll sie instabile Brüche erkennen, bei denen besondere Vorsicht geboten ist. Bei Wirbelkörperfrakturen besteht die Gefahr, dass das Rückenmark verletzt wird und Lähmungen auftreten.
Dr. Jörg Barkhausen (Universität zu Lübeck) leitet den Bereich zu Röntgenthorax. Auch hier sollen Probleme schnell erkannt werden, um eine schnelle Behandlung beginnen zu können, beispielsweise durch Atemnot auf Grund eines Pneumothorax oder auch die richtige Platzierung von Kathetern.
Entwicklung von Prototypen
Spezialisierte Radiologen kategorisierten CT-Bilder, welche die Grundlage für die Entwicklung des intelligenten Röntgenassistenten bilden. Das KI-System lernt aus diesen Beispielbildern, erkennt Muster und Gesetzmäßigkeiten. Zum Training sind auch Bildgebungsmethoden wie MRT möglich. Eine MRT zeige zum Beispiel besser als eine CT Ödeme aufgrund einer frischen Fraktur von Wirbelkörpern, erklärt Glüer. Die KI könne das möglichweise ausgleichen.
Aber das sind nicht die einzigen Anwendungsbereiche für ein Analyseverfahren durch eine KI. Auch kleinere Kliniken ohne radiologische Expertise könnten sie nutzen. Sollte die Aussagekraft der KI im Projekt gut sein, könne der Prototyp auch im klinischen Alltag getestet werden. Das Projekt startete im April 2020 und soll voraussichtlich im März 2023 enden.
Quelle: Universität zu Kiel
Artikel teilen




