Jedes Jahr wird in Deutschland bei rund 57.000 Menschen Lungenkrebs diagnostiziert – mit oft tödlichem Ausgang, weil die Erkrankung typischerweise zu spät entdeckt wird. Voraussichtlich ab April 2026 soll ein neues Früherkennungsprogramm starten, das bei Menschen mit hohem Lungenkrebsrisiko mittels Computertomografie (CT) überprüft, ob verdächtige Veränderungen der Lunge vorliegen. Bisher ist geplant, dass das Lungenkrebs-Screening Personen zwischen 50 und 75 Jahren angeboten wird, die – vereinfacht gesagt – über 25 Jahre stark geraucht haben.
„Unsere Daten zeigen, dass wir nach diesen Kriterien einige Menschen übersehen, die ebenfalls ein hohes Lungenkrebsrisiko haben und vom Früherkennungsprogramm profitieren würden“, sagt Prof. Jens Vogel-Claussen, Leiter der nun veröffentlichten HANSE-Studie. „Wenn wir mehr Faktoren berücksichtigen als nur das Alter und die Rauchhistorie, entdecken wir knapp 20 Prozent mehr Lungenkrebsfälle“, betont der Radiologe. Seit Oktober ist er Direktor der Klinik für Radiologie der Charité. Die Hanse-Studie hat er zuvor an der Medizinischen Hochschule Hannover (MHH) initiiert und betreut sie dort auch weiterhin als Studienleiter.
Umfassender Kriterienkatalog
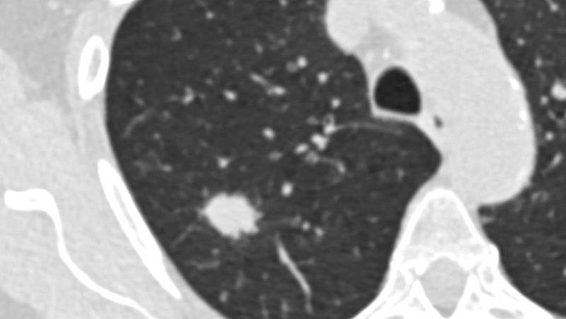
Die im Rahmen des Deutschen Zentrums für Lungenforschung (DZL) entstandene Studie untersuchte, wie gut ein CT-Screening Lungenkrebs frühzeitig erkennt, wenn man die Teilnehmenden nach einem umfassenden Kriterienkatalog, dem sogenannten PLCOm2012-Score, auswählt. Er berücksichtigt neben dem Alter und der Rauchhistorie einer Person auch ihren Bildungsstand, das Gewicht, das Vorliegen einer chronisch-obstruktiven Lungenerkrankung (COPD), vergangene Krebserkrankungen und ob es in der Familie Lungenkrebsfälle gegeben hat.
Verglichen wurden die Ergebnisse mit den Auswahlkriterien, die dem geplanten Lungenkrebs-Screening zugrunde liegen sollen und die ausschließlich das Alter und die Rauchhistorie berücksichtigen („NELSON-Score“). Alle Personen, denen anhand einer der beiden Scores ein hohes Lungenkrebsrisiko attestiert wurde, erhielten im Rahmen der Studie im Abstand von einem Jahr zweimal ein Niedrigdosis-CT. Verdachtsfälle wurden in interdisziplinären Fallkonferenzen überprüft und bei Bestätigung eine Behandlung eingeleitet.
Insbesondere Frauen profitieren von dem erweiterten Kriterienkatalog
Bei rund 4.200 aktiven oder ehemaligen Raucherinnen und Rauchern, die nach dem PLCOm2012-Score gescreent wurden, fanden die Forschenden in 108 Fällen Lungenkrebs. Das sind 19,4 Prozent mehr als in der NELSON-Vergleichsgruppe von rund 3.900 Personen, wo 85 Krebsfälle auffielen. „Wenn wir den umfassenderen PLCOm2012-Score mit einem definierten Schwellenwert zugrunde legen, müssen wir zwar etwa 6 Prozent mehr Personen screenen, finden aber deutlich mehr Lungenkrebsfälle“, erklärt Prof. Martin Reck, Chefarzt des Onkologischen Schwerpunkts an der LungenClinic Grosshansdorf und Letztautor der Studie. „Das macht das Screening effizienter, wir müssen also weniger CT-Untersuchungen durchführen, um einen Fall von Lungenkrebs zu diagnostizieren.“
Von dem erweiterten Kriterienkatalog profitieren insbesondere Frauen. Denn einerseits sind sie mehrheitlich betroffen: In der HANSE-Studie erhielten 2,6 Prozent der Frauen eine Lungenkrebsdiagnose, im Vergleich zu 1,8 Prozent der Männer. Andererseits fallen sie aus dem eng gefassten Kriterienkatalog häufiger heraus.
Wichtige Risikogruppen könnten übersehen werden
„Viele der Frauen in unserer Studie rauchen aktiv, haben über ihr Leben hinweg aber weniger Zigaretten geraucht als die Männer und erreichen damit nicht die aktuell in Deutschland geltende Einschlussschwelle“, erklärt Dr. Sabine Bohnet, Leiterin des Lungenkrebszentrums am Campus Lübeck des UKSH und Co-Autorin der Studie. „Außerdem haben sie beispielsweise häufiger Lungenkrebs in der Familie, eine eigene Krebsvorgeschichte oder eine zusätzliche COPD-Diagnose. Wir gehen davon aus, dass diese Risikofaktoren bei Frauen schwerer ins Gewicht fallen als bei Männern. Leider werden sie von dem aktuell geltenden Kriterienkatalog nicht abgefragt.“
Das geplante Früherkennungs-Screening hat das Ziel, die Sterblichkeit durch Lungenkrebs zu verringern, indem die Erkrankung frühzeitig entdeckt und behandelt wird. „Unsere Studie hat gezeigt, dass es möglich, aber auch nötig ist, die Einschlusskriterien für das Screening basierend auf den Ergebnissen der HANSE-Studie zu ändern“, resümiert Jens Vogel-Claussen. „Sonst übersehen wir wichtige Risikogruppen.“
Quelle: idw
Artikel teilen




