Anlässlich des Tags gegen Schlaganfall am 10. Mai berichten Forscherinnen und Forscher über eine schnellere Methode, einen Schlaganfall im MRT zu erkennen. Täglich erleiden etwa 550 Menschen einen Schlaganfall und schnelles Handeln ist wichtig. Denn bei der häufigsten Form, dem ischämischen Schlaganfall, blockiert ein Blutpfropf ein arterielles Gefäß, wodurch das Gehirn nicht ausreichend mit Blut versorgt wird.
Kürzere Untersuchungszeit
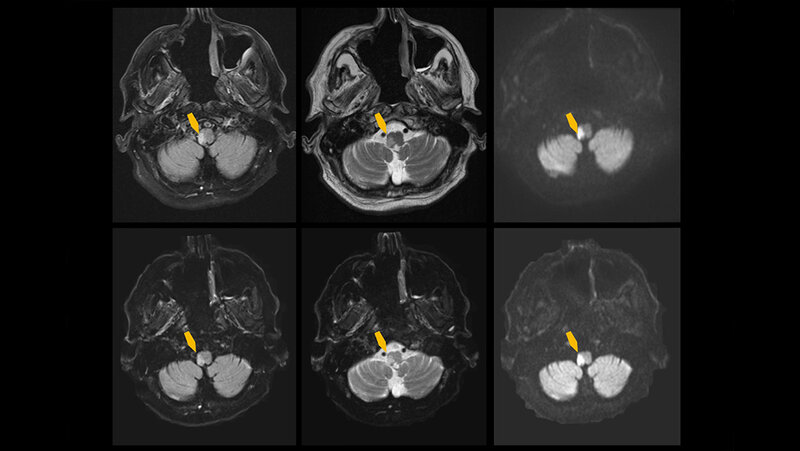
Das bisher schnellste Verfahren zur Diagnostik eines Schlaganfalls ist die CT. Doch gerade bei leichten Schlaganfällen mit schwachen neurologischen Symptomen kann ein falsch negatives Ergebnis erfolgen, da die Bildgebung nicht präzise genug ist für diesen Zweck. Während im MRT auch kleinste ischämische Infarkte erkennbar sind, führen relativ lange Aufnahmezeiten zu einem eingeschränkten Einsatz in Notfallsituationen. Das Ziel des Mainzer Forschungsteams war es, mithilfe von KI diese Untersuchungszeiten zu reduzieren.
„Die sogenannte Deep Learning-Technik ist eine noch relativ neue Technik in der medizinischen Versorgung. Die KI ermöglicht, dass MRT-Bilder parallel zur Aufnahme verarbeitet werden können und ist so trainiert, dass sie die aufgenommenen Bilder künstlich verbessern kann. Dadurch konnten wir die MRT-Bilder ultraschnell und in hoher Qualität rekonstruieren und die Zeit zwischen Untersuchungsbeginn und Befund um rund 78 Prozent reduzieren“, erläutert Dr. Sebastian Altmann, Erstautor der Publikation. In der Studie eingeschlossen waren 211 Patientinnen und Patienten mit Verdacht auf Schlaganfall, die sowohl mit der konventionellen MRT als auch der KI-gestützten MRT untersucht wurden.
Exzellente diagnostische Sicherheit
Während die Untersuchungszeit der konventionellen MRT bei rund 14 Minuten lag, verkürzte sie sich beim KI-Modell auf 3 Minuten – mehr als das Vierfache weniger. Zudem zeigt die neue Methode eine bessere Bildqualität, da die Bilder mithilfe der KI verbessert wurden. Beide Methoden waren akkurat in ihrer Diagnostik und zeigten eine gute bis ausgezeichnete Zuverlässigkeit, den ischämischen Schlaganfall zu erkennen. Die KI-gestützte MRT zeigte sogar eine exzellente diagnostische Sicherheit von 96 Prozent, die konventionelle Methode lag bei 92 Prozent.
Bei 79 der Teilnehmenden zeigte sich tatsächlich ein akuter ischämischer Schlaganfall. Die anderen Patientinnen und Patienten zeigten andere Auffälligkeiten wie chronischer Infarkt (19,4 Prozent), Morbus Biswanger (10,4 Prozent) oder Mikroblutungen (7,6 Prozent). Neben der deutlichen Verbesserung der Notfalldiagnostik von Schlaganfällen wird zudem mit dem neuen Verfahren eine Strahlenexposition vermieden, die bei der CT bisher notwendig war. Nun folgt die sukzessive Implementierung der KI-gestützten MRT in die klinische Praxis.
Quelle: idw
Artikel teilen




