Bei der unheilbaren Mukoviszidose-Erkrankung kann der zähe Lungenschleim kaum abfließen und verstopft dadurch die Atemwege. In der Folge leiden Patientinnen und Patienten an einer erschwerten Atmung, chronischen bakteriellen Infektionen, Entzündungen und Gewebeveränderungen in der Lunge, die auch mit Funktionsverlusten einhergehen. Die bisherige symptomatische Behandlung bestand aus täglichen Inhalationen mit schleimlösenden Medikamenten, teilweise ergänzt durch Antibiotikabehandlungen und Physiotherapie.
Grundlegende Fehlfunktion
Seit 2020 gibt es jedoch auch die Möglichkeit der Dreifachtherapie, die nicht nur die Symptome, sondern auch die eigentliche Ursache angreift. Sie besteht aus der Wirkstoffkombination Elexacaftor, Tezacaftor und Ivacaftor, die in Tablettenform eingenommen werden. Seit 2022 ist diese Therapie auch für Kinder ab sechs Jahren zugelassen, seit 2023 auch für Kinder ab zwei Jahren. Die aktuelle Beobachtungsstudie umfasste Kinder von sechs bis elf Jahren und zeigt die deutliche Verbesserung der Erkrankung.
Aufgrund von Gendefekten können die CFTR-Kanäle, die für die normale Schleimproduktion verantwortlich sind, nicht richtig funktionieren. Die Kanäle regulieren den Wasser- und Salztransport und sorgen damit für ausreichend flüssigen Schleim. Bei etwa 90 Prozent der Betroffenen liegt eine F508del-Mutation vor. Die beiden Wirkstoffe Elexacaftor und Tezacaftor korrigieren diesen strukturellen Schaden. Ivacaftor hingegen sorgt dafür, dass der CFTR-Kanal dauerhaft geöffnet ist. Durch diese Kombination könne die Funktion der Kanäle bei Erwachsenen auf bis zu 50 Prozent angehoben werden, erläutert Prof. Mirjam Stahl, korrespondierende Autorin der Studie.
Deutlicher Nutzen der Dreifachtherapie
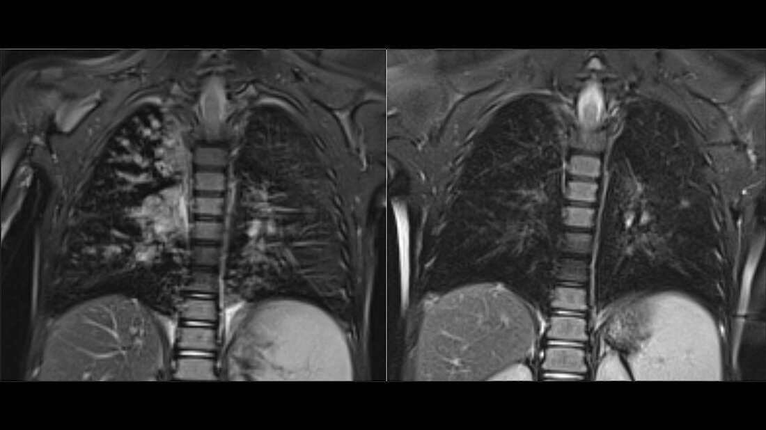
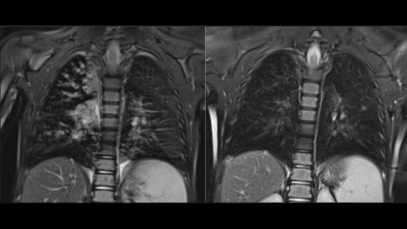
Anhand der Daten von 107 Kindern, die an Mukoviszidose leiden, konnten die Forschenden den deutlichen Nutzen zeigen. Innerhalb eines einjährigen Untersuchungszeitraums der Kinder zeigte sich, dass die Dreifachtherapie nicht nur die Schwere der Symptome reduziert, sondern auch das Voranschreiten der Erkrankung stoppt. Bei den meisten Kindern übertrafen die Werte sogar die der Erwachsenen und sie erlangten eine normale Lungenfunktion.
Momentan wird eine ähnliche Studie für Kinder zwischen zwei und fünf Jahren durchgeführt. Die Hoffnung ist, dass ein früher Start der Behandlung die Entwicklung schwerwiegender Symptome und strukturelle Veränderungen der Lunge verhindern kann. Zudem untersuchen sie, ob sich die Basistherapie der Symptome durch die Dreifachtherapie reduzieren lässt.
Quelle: Charité
Artikel teilen




