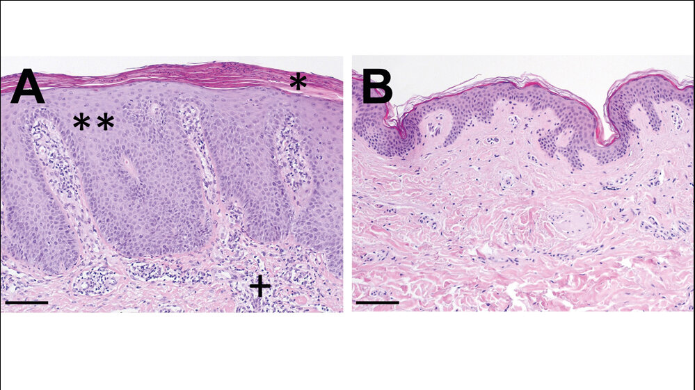
„Eine krankhafte und sehr komplexe Immunreaktion der Haut“: So beschreiben Ärzte und Wissenschaftler eine Krankheit, von der zwischen ein und drei Prozent der Bevölkerung betroffen sind – die Schuppenflechte (Psoriasis). Zu ihren charakteristischen Merkmalen gehören eine beschleunigte Zellteilung in den oberen Hautschichten mit einer Vermehrung von Hautzellen und einer Entzündung der darunterliegenden Haut. In dem komplexen Geschehen spielen viele unterschiedliche Zellen eine Rolle: Hautzellen (Keratinozyten) und Zellen des Immunsystems, unter anderem T-Lymphozyten, Makrophagen, Mastzellen und andere mehr.
Einfluss auf einen entzündungshemmenden Botenstoff
Jetzt haben Wissenschaftler der Universität und des Universitätsklinikums Würzburg ihren Blick auf eine Zellart geworfen, die bisher im Zusammenhang mit der Schuppenflechte nur wenig Beachtung gefunden hatte: die sogenannten B-Lymphozyten. Sie konnten zeigen, dass diese Zellen über die Regulation des entzündungshemmenden Botenstoffs Interleukin-10 (IL-10) die Hautkrankheit beeinflussen können. Damit bieten sie sich möglicherweise als Angriffspunkt für eine neue Therapie gegen diese Krankheit an, die nach dem derzeitigen Stand der Forschung nicht heilbar ist. Die Ergebnisse ihrer Studie haben die Wissenschaftler jetzt veröffentlicht.
An der Studie federführend beteiligt waren die Professoren Matthias Goebeler, Direktor der Universitätsklinik und Poliklinik für Dermatologie, Venerologie und Allergologie Würzburg, und Edgar Serfling, aktiver Seniorprofessor in der Abteilung für Molekulare Pathologie am Pathologischen Institut der Universität Würzburg, der die Studie initiiert hatte. „Wichtig war die neue Erkenntnis, dass die Produktion des entzündungshemmenden Botenstoffs IL-10 durch die B-Lymphozyten über eine Wechselwirkung mit dem Protein ‚Nuclear Factor of Activated T cells‘ (NFATc1), einem Transkriptionsfaktor, vermindert wurde“, schildert Matthias Goebeler das zentrale Ergebnis der Arbeit. NFATc1 hemme die Ablesung des IL-10-Gens in B-Zellen und führe schließlich zu einer schlechteren Kontrolle des entzündlichen Geschehens in der Haut. „Die weitere Aufschlüsselung der Wechselwirkung könnte zukünftig zur Entwicklung von Medikamenten führen, die noch spezifischer die entzündlichen Prozesse bei der Psoriasis unterdrücken“, so die Wissenschaftler.
Stichwort Schuppenflechte (Psoriasis)
Die Psoriasis ist eine chronisch-entzündliche Hauterkrankung, die bei ein bis drei Prozent der Bevölkerung vorkommt. Die Ausprägung der Psoriasis kann zwischen einzelnen entzündeten und schuppenden Stellen, sogenannten Plaques, an den Ellenbogen oder Knien in leichten Fällen bis hin zu einem sehr schweren Krankheitsbild, bei dem die gesamte Haut betroffen ist, schwanken. Bei etwa 20 Prozent der Psoriasis-Patienten treten zusätzlich schmerzhafte Gelenkentzündungen auf.
Typischerweise erleben Psoriasis-Patienten in ihrem Leben wiederkehrende Schübe verschieden starker Ausprägung. Je nach Ausmaß und Verlauf sind individuell verschiedene Therapieformen von äußerlichen Salben- und/oder Lichtbehandlungen bis hin zu Therapien durch Tabletten oder Injektionen möglich. (idw, red)
Hani Alrefai, Khalid Muhammad, Ronald Rudolf et al.: NFATc1 supports imiquimod-induced skin inflammation by suppressing IL-10 synthesis in B cells. DOI: 10.1038/ncomms11724
Artikel teilen

