Die Forscher/-innen belegen, dass Ependymome in einer bestimmten Stammzellnische des Gehirns entstehen. Auf Basis dieser Erkenntnisse konnten sie klären, warum sich manche Ependymome sehr aggressiv verhalten und schlecht zu behandeln sind, während andere eine bessere Prognose aufweisen. Die Therapieansätze, die von den Ergebnissen abgeleitet wurden, sind in ersten Labortests vielversprechend. Die Arbeit wurde nun publiziert.
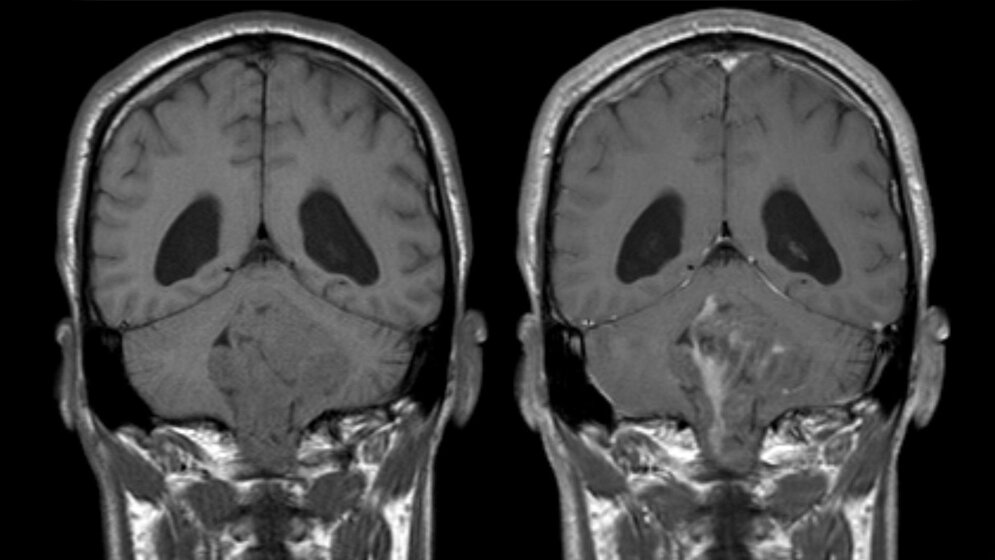
Ependymome sind seltene Hirntumoren, die bei Kindern und bei Erwachsenen auftreten können. Zudem handelt es sich um eine heterogene Tumorgruppe und es war lange nicht bekannt, warum manche eine gute Prognose und manche einen sehr aggressiven Verlauf aufweisen. Daneben war unklar, warum die Ependymome von Kindern besonders häufig mit einer schlechten Prognose verbunden sind.
Nutzung von Single Cell Sequencing
Die nun publizierte Studie nutzte modernste Methoden wie das Single Cell Sequencing, um einzelne Tumorzellen genomweit zu analysieren und ihre molekularbiologischen Eigenschaften zu beschreiben. Dabei zeigte sich, dass Ependymome sehr heterogen sind, also aus vielen Zellen mit unterschiedlichen Eigenschaften bestehen, was die Behandlung erschwert. Das Forscherteam untersuchte im Zuge seiner Arbeit Zellen von Tumoren mit guter Prognose, ebenso wie solche mit aggressiven Verläufen. Ein Großteil der Patienten/-innen, deren Tumoren untersucht wurden, wurden von der MedUni Wien in die Studie eingebracht (20 von insgesamt 28).
Ependymomzellen aus einer bestimmten Stammzellnische
Eine wesentliche Erkenntnis der Forscher/-innen bestehe im Nachweis, dass Ependymomzellen aus einer bestimmten Stammzellnische des Gehirns entstehen. Damit weisen sie auch oft Eigenschaften von Stammzellen auf. Stammzellen besitzen die Fähigkeit, andere Körperzellen zu ersetzen und zu Körperzellen mit verschiedenen Funktionen (z.B. Nervenzellen) heranzureifen (Ausdifferenzierung). Solange sie noch unreif, also undifferenziert sind, können sie sich im Prinzip unbegrenzt vermehren. Sind die Zellen entartet, entsteht eine besonders aggressive Form von Krebs. Johannes Gojo, Facharzt und Forscher an der Universitätsklinik für Kinder- und Jugendheilkunde der MedUni Wien und des Universitätsklinikums AKH Wien sowie am Institut für Krebsforschung der MedUni Wien, Mitglied des CCC sowie des Comprehensive Center for Pediatrics (CCP) der MedUni Wien und des AKH Wien und Erstautor der Studie betont: „Wir haben gesehen, dass die einzelnen Zellen von Ependymomen innerhalb des Tumors verschiedene Entwicklungsstadien durchlaufen. Jene mit aggressivem Verlauf weisen viele unreife Zellen auf, das heißt, sie sind Stammzellen sehr ähnlich. Tumoren, bei denen sich ein Großteil der Zellen in einem ausgereifteren Zustand befand, zeigten eine günstigere Prognose. Dieses Ergebnis könnte uns einen Ansatzpunkt für neue Therapiekonzepte liefern.“ Es erklärt außerdem, warum sich Ependymome bei Kindern häufig aggressiver verhalten als bei Erwachsenen: Bei ihnen ist der Anteil an undifferenzierten, stammzellartigen Ependymomzellen höher als bei Erwachsenen.
Neue Therapieansätze ableitbar?
Gojo weiter: „Wir konnten darüber hinaus auch genaue Kenntnisse der molekularbiologischen Eigenschaften der Tumorzellen gewinnen, was uns ebenfalls gestattet, neue Therapieansätze abzuleiten. Erste Tests in diese Richtung sind sehr vielversprechend, bedürfen aber noch genauerer Untersuchungen.“ Die Studie ist ein Kooperationsprojekt der MedUni Wien, dem Dana-Farber Cancer Institute und der Harvard Medical School bzw. dem Broad Institute of MIT in Boston und dem Deutschen Krebsforschungszentrum bzw. dem Hopp Kindertumorzentrum in Heidelberg.
J. Gojo, B. Englinger, L. Jiang, et al.: Single-cell RNA-seq reveals cellular hierarchies and impaired developmental trajectories in pediatric ependymoma. Cancer Cell 38, 44–59. e1–e9, July 13, 2020, DOI: https://doi.org/10.1016/j.ccell.202.
Quelle: MedUni Wien
Artikel teilen



