Heute wird das Mantelzelllymphom in der Sektion für Hämatopathologie im Institut für Pathologie des Universitätsklinikums Schleswig-Holstein und der Medizinischen Fakultät der Christian-Albrechts-Universität zu Kiel erforscht. Ein großes Problem für die behandelnden Ärzte ist, dass die Erkrankung von Patient zu Patient sehr unterschiedlich aggressiv verläuft. Um die richtige Therapie für die Patienten aussuchen zu können, müsste man den Erkrankungsverlauf vorhersagen können.
Jetzt konnten Kieler Wissenschaftler im Rahmen einer Europäischen Kooperationsarbeit eine neue Methode zur Vorhersage des Erkrankungsverlaufes entwickeln. Die Arbeitsgruppe von Prof. Dr. Wolfram Klapper, Leiter der Sektion für Hämatopathologie, verwendete dazu eine ebenfalls „alte“ Kieler Erfindung, den Antikörper Ki-67. Mittels immunhistochemischer Färbungen kann der Pathologe am Gewebe, das dem Patienten entnommen wird, durch Ki-67 die Geschwindigkeit des Zellwachstums messen. Die Forscher konnten nun zeigen, dass die Erkrankung bei hoher Zellteilungsgeschwindigkeit schneller voranschreitet. „Wir können durch die Verbindung von Ki-67 mit anderen Messwerten einen Risiko-Wert für jeden Patienten angeben und so eine sehr genaue Vorhersage über den Erkrankungsverlauf machen“, sagt Professor Klapper. „Unsere Stärke ist, dass wir in Kiel als Lymphomreferenzzentrum für patientennahe Forschung auf eine große Sammlung von Geweben des Lymphknotenregisters zurückgreifen können.“ Die Hoffnung der Ärzte ist es, mit der neuen Methode patienten-individuell die am besten geeignete Therapie auswählen und die Intensität der Behandlung optimal steuern zu können. (idw, red)
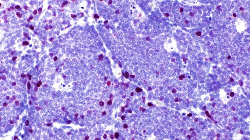
* Die große Zahl an Ki67 positiven Zellen deutet darauf hin, dass ein Rückfall sehr wahrscheinlich ist.
Eva Hoster, Andreas Rosenwald, Françoise Berger, Heinz-Wolfram Bernd et al.: Prognostic Value of Ki-67 Index, Cytology, and Growth Pattern in Mantle Cell Lymphoma: Results from Randomized Trials of the European MCL Network. Journal of Clinical Oncology, Online: February 29, 2016
Artikel teilen


