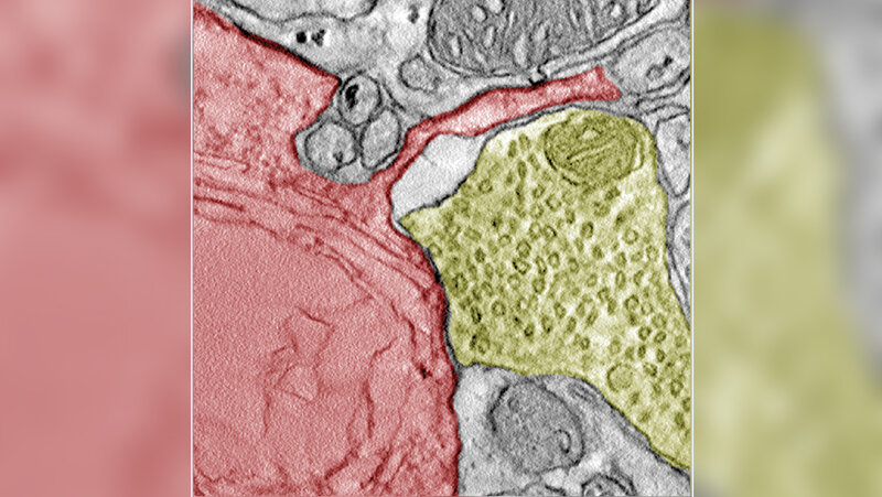
Bei Hirntumoren, die aus dem Nervensystem entstehen, war bereits bekannt, dass sie funktionale Synapsen mit Nervenzellen bilden können. Damit hilft der Körper dem Tumor beim Wachsen. Ein neuer Fund beim kleinzelligen Lungenkrebs zeigt jedoch, dass sich dieses Ausmaß an Kommunikation zwischen Körper und Tumor nicht nur auf Hirntumoren begrenzt, sondern auch andere Tumorarten diese Synapsen bilden können. In diesem Fall bezieht sich die neue Erkenntnis auf den kleinzelligen Lungenkrebs.
Funktionale Synapsen zwischen Krebs und Neuronen
Für ihre Forschung analysierten die Forschenden Daten, durch die sie eine Reihe von Genen identifizierten, die mit der Synapsenbildung in Verbindung stehen. In Zellkulturen und im Mausmodell bestätigte sich die Entdeckung, dass Zellen des kleinzelligen Lungenkrebs funktionale Synapsen mit Neuronen bilden. „Ich war verblüfft, als wir das Ausmaß der Neuronen sahen, die die Krebszellen kapern konnten”, erklärt Seniorautor Professor Dr. Matteo Bergami, Forschungsgruppenleiter am Exzellenzcluster für Alternsforschung CECAD der Universität zu Köln. „Ich glaube, dieses Ergebnis wird die Medikamentenentwicklung transformieren und zu effizienteren Therapien führen, die eine Metastasierung des kleinzelligen Lungenkrebses im Gehirn verhindern.“
Zwei verantwortliche Neurotransmitter
Als verantwortliche Neurotransmitter konnten die Forschungsgruppe Glutamat und GABA ausfindig machen. Waren sensorische oder kortikale Neuronen involviert, konnte der Krebs schneller wachsen. Die Zellen zeigten eine hohe Anpassungsfähigkeit zur Beschleunigung des eigenen Wachstums. Die Hemmung von Glutamat führte zur verringerten Tumorlast und die Mäuse konnten länger Überleben – es könnte sich daher als neuer Angriffspunkt für weitere Therapieansätze entpuppen. Diese Form der Therapie ließe sich auch mit einer Chemotherapie kombinieren.
Neben völlig neuen Einsätzen könnten auch bereits vorhandene medikamentöse Behandlungsmöglichkeiten eingesetzt werden. Das Forschungsteam widmet sich nun der Untersuchung der molekularen Details, um die möglichen Behandlungsstrategien zu identifizieren bzw. zu optimieren.
Quelle: idw
Artikel teilen




