Nicht-alkoholische Fettleber breitet sich aus
Die rasant wachsende "Epidemie", die heutzutage bereits 25 Prozent der Bevölkerung betrifft, ist zentrales Thema beim Treffen weltweit führender Experten im spanischen Sevilla. Die Häufigkeit der nicht-alkoholischen Fettleber (kurz: NAFLD) in Europa sei eine vermeidbare Epidemie, werden führende Wissenschaftler anlässlich des vom 26. bis 28. September 2019 in Sevilla stattfindenden EASL Non-Alcoholic Fatty Liver Disease (NAFLD) Summit 2019 verkünden.
Ein Drittel der Kinder übergewichtig
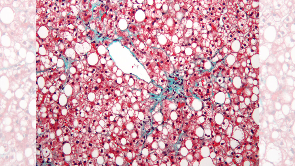
Mehr als die Hälfte der Erwachsenen und ein Drittel der Kinder in Europa gelten als übergewichtig oder adipös, wobei der höchste Anteil in den unteren sozioökonomischen Gruppen zu finden ist, in denen die nicht-alkoholische Fettlebererkrankung vorherrscht. Bei der nicht-alkoholischen Fettleber bzw. NAFLD handelt es sich um die Ansammlung überschüssigen Fetts in der Leber. Das Krankheitsbild gilt heutzutage aufgrund des rasanten Anstiegs von Adipositas und Typ-2-Diabetes als die häufigste Ursache für Lebererkrankungen in westlichen Ländern. Sie stellt eine wesentliche gesundheitliche Belastung in Europa dar und kann zu Leberzirrhose und Leberkrebs führen sowie zu einem starken Anstieg bei Herz-Kreislauf- und anderen Krebserkrankungen.
Mangelnde körperliche Bewegung und hohe Kalorienaufnahme
Mangelnde körperliche Bewegung und eine zu hohe Kalorienaufnahme führen zu Gewichtszunahme und Fettablagerungen, die bei Entstehung und Fortschreiten der NAFLD eine wichtige Rolle spielen. „Wir haben hinsichtlich Adipositas und NAFLD einen Wendepunkt erreicht. Unsere politischen Entscheidungsträger sollten nun mit Dringlichkeit handeln, um diese wachsende Epidemie umzukehren. Adipositas ist die logische Konsequenz eines ungesunden Lebenswandels und kann nur angegangen werden, wenn man auf die zahlreichen physischen, sozialen und ökonomischen adipogenen Stimuli eingeht“, so Philip N. Newsome, Generalsekretär der Europäischen Fachgesellschaft für Leberforschung (European Association for the Study of the Liver, EASL), Direktor des Zentrums für Leber- und Gastrointestinale Forschung und Professor für Hepatologie an der Universität Birmingham.
Bedarf an besseren Diagnosemethoden
Es besteht ein akuter Bedarf an besseren Diagnosemethoden für NAFLD, und die EASL unterstützt hier einige Forschungsprojekte. „In der Zwischenzeit müssen wir medizinische Fachkreise darüber informieren, wie Diagnosen frühzeitig gestellt und Maßnahmen eingeführt werden können, anhand derer das Fortschreiten der Krankheit verhindert werden kann. Auch müssen wir Patienten Möglichkeiten in die Hand geben, sodass sie wissen, wie sie ihr eigenes Risiko senken können.“
„Es ist offenkundig, dass zahlreiche Ursachen der NAFLD, also mangelnde Bewegung, eine zu hohe Energieaufnahme und ungesunde Ernährung, vermeidbar sind. Wenn also die Inzidenz von Adipositas und NAFLD gesenkt werden sollen, müssen wir die Richtlinien für den Verkauf und die Vermarktung von zuckerhaltigen Produkten wesentlich überdenken“, fordert Newsome.
Zuckerhaltige Getränke im Visier
Zuckerhaltige Getränke machen den größten Anteil an zusätzlich konsumiertem Zucker aus und haben zudem - wenn überhaupt - einen nur geringen Nährwert. Folglich zählt der Konsum zuckerhaltiger Getränke zu den führenden Ursachen für Adipositas bei Kindern und Erwachsenen - und wird mit NAFLD sowie einer verstärkten Leberschädigung in Verbindung gebracht. EASL setzt sich bereits seit Jahren sehr für die Einführung finanzpolitischer Maßnahmen ein, um den Konsum von zuckerhaltigen Getränken einzudämmen, und für Rechtsvorschriften, mit denen Kennzeichnung und Zusammensetzung von verarbeiteten Lebensmitteln verbessert werden sollen.
Werbung wird kritisiert
Helena Cortez-Pinto, Vorsitzende des für EU-Politik zuständigen Gremiums der EASL sowie Professorin an der medizinischen Fakultät in Lissabon sagt: „In der gesamten europäischen Region der WHO sind Kinder regelmäßig Werbung ausgesetzt, die unausgewogene Lebensmittel und Getränke mit hohem Anteil an gesättigten Fettsäuren, Transfettsäuren, Zuckerzusatz oder Salz anpreisen. Es ist erwiesen, dass Lebensmittel- und Getränkewerbung und insbesondere solche während Fernsehprogrammen für Kinder sowie in den digitalen und sozialen Medien den Konsum von stark kalorienhaltigen und nährstoffarmen Getränken und Lebensmitteln in die Höhe treiben. EASL zufolge müssen gesundheitspolitische Maßnahmen auch Einschränkungen von Werbung und Marketing für zuckerhaltige Getränke und Lebensmittel aus industrieller Produktion umfassen, deren Gehalt an gesättigten Fettsäuren, Zucker und Salz hoch ist.“
Kongressmotto: A healthy liver for a healthy you
Teilnehmer des NAFLD-Kongresses sollen auch über Lösungen informiert werden, zu denen die Förderung einer besseren Ernährung und mehr körperlicher Aktivität zählt. Der internationale Fachkongress der EASL (International Liver Congress) findet vom 15. bis 19. April 2020 in London unter dem Thema "A healthy liver for a healthy you". Eine gesunde Ernährung sei ein wichtiger Schritt in die richtige Richtung, aber es würden auch finanzpolitische Maßnahmen von Regierungsseite gebraucht, um Verhaltensänderungen fördern zu können, betont die europäische Fachgesellschaft.
„Die mediterrane Ernährungsweise, d. h. der reichliche Verzehr von Olivenöl, Nüssen, Obst, Gemüse und Fisch sowie Zurückhaltung bei rotem und weiterverarbeitetem Fleisch und Lebensmitteln mit Zuckerzusatz, ist eine wirksame Lösung, die die Behandlung der NAFLD unterstützt und zu ihrer Vermeidung beiträgt“, so Prof. Cortez-Pinto.
Quelle: EASL European Association for the study of the Liver
Artikel teilen






