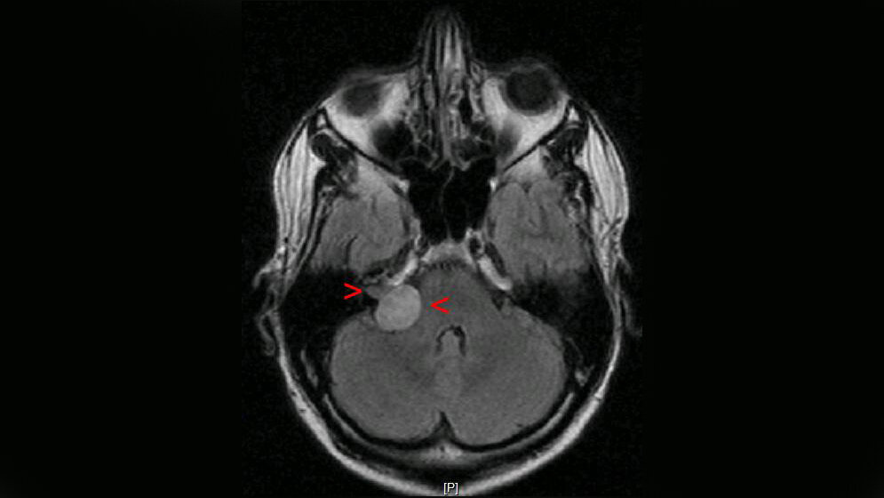
Akustikusneurinome sind gutartige Tumore, die im inneren Gehörgang oder im Kleinhirnbrückenwinkel wachsen und zumeist mit einer einseitigen Hörminderung, einem Tinnitus und Schwindel auffallen. Sie können prinzipiell beobachtet, bestrahlt oder operiert werden. Ab einer gewissen Tumorgröße ist allerdings immer eine Operation erforderlich, wobei danach häufig eine weitere Verschlechterung des Hörvermögens bis zur Ertaubung auftritt. In einer von der halleschen Universitätsmedizin geleiteten klinischen Phase-III-Studie an neun deutschen Klinika soll nun herausgefunden werden, ob die Gabe der Substanz Nimodipin einige Zeit vor und nach der Operation eines Akustikusneurinoms eine neuroprotektive Wirkung hat und die Hörfunktion häufiger erhalten werden kann. Die Deutsche Forschungsgemeinschaft (DFG) fördert die Studie mit insgesamt rund 900.000 Euro für drei Jahre.
Etwa sechs bis acht Prozent der intrakraniellen Tumoren
Neben der halleschen Universitätsklinik und Poliklinik für Neurochirurgie sind die Universitätsklinika Tübingen, Würzburg, Göttingen, Münster und Erlangen-Nürnberg sowie die Kliniken Nord-Heidberg Hamburg, Fulda und Erfurt an der Studie beteiligt.
Das Akustikusneurinom macht etwa sechs bis acht Prozent der intrakraniellen Tumoren aus und kann unbehandelt auch zum Tode führen. Statistisch erkranken jährlich etwa ein bis zwei Menschen je 100.000 daran. „Diese Tumoren sind jedoch sehr gut behandelbar. Nach kompletter operativer Entfernung sind die Patienten, die im Durchschnitt zwischen 45 und 55 Jahre alt sind, in der Regel geheilt. Allerdings geht mit dem einseitigen Verlust der Hörfunktion eine massive Beeinträchtigung der Lebensqualität einher“, sagt apl. Prof. Dr. Christian Scheller von der Universitätsklinik und Poliklinik für Neurochirurgie des Universitätsklinikums Halle (Saale), der seit über 20 Jahren zu der Thematik forscht, wissenschaftlich publiziert und diese Tumoren operiert. Zur Einordnung: Die Universitätsklinik für Neurochirurgie ist auf die operative Behandlung von Akustikusneurinomen spezialisiert und dafür kommen aus ganz Deutschland Patienten nach Halle. Außerdem wird hier an dem Thema seit mehr als 20 Jahren wissenschaftlich gearbeitet. Das habe sicher dazu beigetragen, dass die DFG dieses Vorhaben fördere, so Scheller.
Prophylaktische Gabe von Nimodipin
In vorangegangenen Studien habe sich gezeigt, dass die prophylaktische Gabe von Nimodipin dafür sorgen könnte, Hirnnerven zu schützen, insbesondere den Hör- und den Gesichtsnerven, so Scheller. Nimodipin sei ein gut verträglicher Calcium-Antagonist, der seit mehr als 25 Jahren als Medikament eingesetzt werde, von dem aber bisher nicht klar sei, warum er eine neuroprotektive Wirkung habe.
Die Datenlage zu dieser Wirkung aus einer Pilotstudie unter seiner Leitung und einigen weiteren Studien sei noch zu dünn, um daraus eine allgemeine Therapieempfehlung abzuleiten. Die belastbare Evidenz fehle bisher, so Scheller weiter. „Daher hat unsere Studie auch eine große Relevanz für die Grundlagenforschung. Wir gehen also den umgekehrten Weg - aus der Klinik in die Grundlagenforschung“, sagt der Neurochirurg.
Studie: Ziel 450 Patientinnen und Patienten
In die die Studie sollen insgesamt 450 Patientinnen und Patienten eingeschlossen werden, die zufällig einer der beiden Studiengruppen zugeordnet werden. Eine Gruppe wird klassisch behandelt, die andere Gruppe erhält am Tag vor der Operation und bis zu fünf Tage danach zusätzlich ein Nimodipin-Präparat. Die Zuordnung geschieht internetbasiert mit einem automatischen System des Koordinierungszentrums für Klinische Studien Halle (KKSH), das die Studie - ebenso wie apl. Prof. Andreas Wienke vom Institut für Medizinische Epidemiologie, Biometrie und Informatik (IMEBI) der Medizinischen Fakultät Halle - unterstützt.
Vor und nach der Operation wird das Hörvermögen beziehungsweise die Hörfunktion gemessen. „Das ist sehr gut messbar und anhand von Ton- und Sprachkurven ist die neuroprotektive Wirkung sehr gut zu sehen. Das sind also harte Daten“, sagt Scheller. Das subjektive Empfinden der Patientinnen und Patienten werde nach drei Monaten aber mittels standardisierten Fragebögen ebenfalls erfasst, ebenso erfolge nach diesem Zeitraum eine MRT-Untersuchung zur Kontrolle.
Auch für andere OPs?
Perspektivisch wird laut Scheller in Kooperation mit der Naturwissenschaftlichen Fakultät I der Martin-Luther-Universität Halle-Wittenberg zudem geprüft, ob es Sinn ergibt, den Wirkstoff lokal dort einzusetzen, wo er schützend wirken soll. Die neuroprotektive Wirkung zu belegen, kann des Weiteren Auswirkungen auf andere operative Eingriffe haben, bei denen Nerven gefährdet sind. „Ein Beispiel könnten die Schilddrüsenoperationen sein, die deutlich häufiger durchgeführt werden als die Operation eines Akustikusneurinoms, und bei deren Entfernung eine Heiserkeit als Folge einer Nervenschädigung auftreten kann“, so Scheller.
Quelle: idw/Martin-Luther-Universität Halle-Wittenberg
Artikel teilen

