Forschende des Universitätsklinikums Freiburg zeigen in einer aktuellen Studie, dass die neue Generation an Computertomografen, die sogenannten Photon-Counting-CTs, die Diagnose und Bildqualität bei einer koronaren Herzerkrankung bei Hochrisikopatientinnen und -patienten deutlich verbessert. Dies könnte ein bedeutender Vorteil für Personen sein, bei denen bisher schnell ein invasiver Herzkatheter nötig war. Die Studie erschien am 20. Juni 2023 im Fachmagazin Radiology. „Unsere Ergebnisse zeigen, dass mit der neuen CT-Technologie deutlich mehr Patientinnen und Patienten von einer nicht-invasiven CT-Untersuchung des Herzens profitieren als bisher“, sagt Prof. Dr. Fabian Bamberg, Ärztlicher Direktor der Klinik für Diagnostische und Interventionelle Radiologie des Universitätsklinikums Freiburg. Das werde die klinische Versorgung weiter verbessern.
Präzise Bilder als Therapiegrundlage
Die koronare CT-Angiographie eignet sich besonders gut zum Ausschluss einer koronaren Herzerkrankung bei Patientinnen und Patienten mit niedrigem oder mittlerem Risiko für Veränderungen der Herzkranzgefäße. Bei Personen mit hohem Risiko gestaltete sich dies bislang aufgrund von häufig auftretenden koronaren Verkalkungen und Stents jedoch schwierig.
Keine Überdiagnostik von Verengungen
Muhammad Taha Hagar, Erstautor der Studie und Arzt der Klinik für Diagnostische und Interventionelle Radiologie am Universitätsklinikum Freiburg erklärt: „In klassischen CT-Bildern erscheinen Verkalkungen der Herzkranzgefäße oft größer als sie tatsächlich sind. Dieser Effekt ist umso stärker, je größer die Verkalkung ist.“ Dadurch konnte es bislang zu einer Überbewertung von Verengungen und Plaques und in der Folge zu einer Überbehandlung kommen. Darum wurden diese Personen bislang schnell in den Herzkatheter überweisen oder in der Magnetresonanztomografie untersucht.
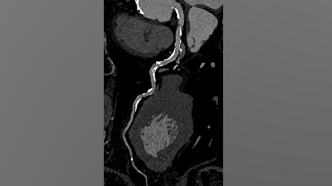
Exzellente Bildqualität
In der von Hagar und seinem Team durchgeführten Studie wurden 68 Probandinnen und Probanden mittels Photon-Counting-CT und einer invasiven Koronarangiografie als Referenzstandard untersucht. Die Patientinnen und Patienten litten alle unter einer schweren Aortenklappenstenose, einer gängigen, aber ernsthaften Herzerkrankung, die den Blutfluss vom Herzen zur Aorta reduziert oder blockiert. Die Photon-Counting-CT-Untersuchung zeigte sich sehr genau in der Erkennung oder dem Ausschluss der koronaren Herzerkrankung. Auch wurde die Bildqualität in fast 80 Prozent als gut oder hervorragend bewertet.
Höhere Strahlenexposition für Studie
Das Photon-Counting-CT ist deutlich sensibler als klassische CT-Geräte und benötigt eigentlich weniger Strahlung für vergleichbare Bilder. Um die in der Studie erreichte Bildqualität zu erhalten, war jedoch eine etwas höhere Strahlenexposition als bei klassischen CT-Verfahren notwendig. Darum ist die Methode zunächst vor allem für Hochrisikopatientinnen -patienten geeignet, die von den hochauflösenden Bildern besonders profitieren.
Bald immer mehr Photon-Counting-CTs?
Noch sind Photon-Counting-CT-Geräte wie das am Universitätsklinikum Freiburg weltweit relativ selten, doch Forschende rechnen damit, dass diese Technologie in den nächsten zehn Jahren zunehmend Verbreitung finden und die CT-Diagnostik maßgeblich verändern wird. Beim „Photon-Counting“ entsteht durch die hochauflösende direkte Umwandlung der eintreffenden Photonen ein digitales Signal, welches direkt auswertbar ist. Die Methode gilt damit als Grundlage für eine substantiell verbesserte digitale Patientenversorgung und für eine Nutzung der generierten Daten für zukünftige Therapieansätze.
Weiteres diagnostisches Potenzial
Das Forschungsteam untersucht nun das diagnostische Potenzial der photonenzählenden CT-Technologie in anderen klinischen Szenarien, wie beispielsweise in der Onkologie. Weiterhin möchte es seine Studien auf Untergruppen erweitern, für die eine CT-Bildgebung derzeit nicht realisierbar ist, beispielsweise Patient*innen mit koronaren Stents oder die Beurteilung des Herzmuskels mit dem Photon-Counting CT.
Quelle: Universitätsklinikum Freiburg
Artikel teilen




