Der kausale Zusammenhang zwischen den Proteinaggregaten und der Neurodegeneration ist eindeutig. Doch es ist unklar, wie fehlerhaft gefaltete Proteine den Zelltod auslösen. Prof. Dr. Jörg Tatzelt, Leiter der Abteilung Biochemie Neurodegenerativer Erkrankungen an der Ruhr-Universität Bochum, konnte nun zeigen, dass fehlgefaltete Prion-Proteine das TDP-43-Protein inaktivieren können. TDP-43 ist für die Aufrechterhaltung der Proteingleichgewichts in allen Zelltypen essenziell, insbesondere in Nervenzellen.
Ursachen können vielfältig sein
Eine Fehlfunktion von TDP43 ist assoziiert mit Amyotropher Lateralsklerose und Frontotemporaler Demenz. Diese Erkenntnisse sind bedeutend für das Verständnis von Mechanismen, die Neurodegenerativen Erkrankungen zugrunde liegen. Die Ursachen neurodegenerativer Erkrankungen wie der Alzheimer-Krankheit, der Parkinson-Krankheit, der Frontotemporalen Demenz und der Prion-Erkrankungen können vielfältig sein. Ein gemeinsamer Nenner ist jedoch die Proteinfehlfaltung und das Auftreten von Proteinablagerungen im Gehirn. „Verschiedene Ansätze und Modelle haben gezeigt, dass fehlgefaltete Proteine eine entscheidende Rolle im Krankheitsprozess spielen“, so Jörg Tatzelt. „Es gibt jedoch eine anhaltende Debatte über die Art der schädlichen Proteinspezies und darüber, wie fehlgefaltete Proteine selektiv bestimmte Nervenzellen schädigen.“
Toxizität oder Funktionsbeeinträchtigung
Studien an krankheitsassoziierten Genen haben zwei grundlegende Mechanismen aufgezeigt, wie falsch gefaltete Proteine zur Neurodegeneration führen können: Zum einen kann durch die fehlerhafte Faltung das Protein eine toxische Aktivität erlangen. Zum anderen kann es durch die Fehlfaltung zu einem Verlust der physiologischen Funktion des Proteins kommen, wodurch wichtige physiologische Prozesse in der Zelle beeinträchtigt werden. „Ursprünglich wurde angenommen, dass jede neurodegenerative Erkrankung durch die Fehlfaltung eines für sie spezifischen Proteins gekennzeichnet ist“, berichtet Jörg Tatzelt. „Inzwischen hat sich aber gezeigt, dass fehlgefaltete Proteine, die gehäuft bei einer Krankheit entstehen, auch die Aggregation von anderen Proteinen induzieren können, ein Mechanismus der als Cross-Seeding bezeichnet wird.“
Das Prion-Protein und TDP-43
Bei TDP-43 (TAR-DNA-bindenden Proteins 43) handelt sich um ein Protein, das bei der Umsetzung der genetischen Information in spezifische Proteine beteiligt ist. Dadurch trägt es zur Aufrechterhaltung des Proteingleichgewichts in Nervenzellen bei. Die Verklumpung von TDP-43 in der Zelle ist ein charakteristisches Merkmal im Gehirn von Patienten, die an Amyotropher Lateralsklerose oder der Frontotemporalen Demenz leiden.
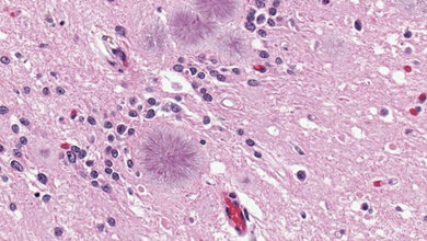
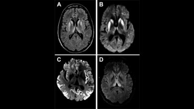
Eine Fehlfaltung des Prion-Proteins löst Prion-Erkrankungen aus, wie etwa die Creutzfeldt-Jakob-Erkrankung. Alle bisherigen Forschungsergebnisse deuten darauf hin, dass das fehlgefaltete Prion-Protein eine toxische Aktivität erlangt. Die genauen Mechanismen, durch die krankheitsassoziierte Prion-Proteine den Untergang von Nervenzellen auslösen, sind jedoch nur sehr unvollständig bekannt.
Interaktion mit TDP-43
Mithilfe von In-vitro- und Zellkultur-Ansätzen, Tiermodellen und Gehirnproben von Patienten mit der Creutzfeldt-Jakob-Erkrankung konnten die Forschenden zeigen, dass fehlgefaltete Prion-Proteine die Verklumpung und Inaktivierung von TDP-43 auslösen können. Die Prion-Proteine interagieren in vitro und in Zellen mit TDP-43 und induzieren dadurch die Bildung von TDP-Aggregaten in der Zelle. Infolgedessen ist die TDP-43-abhängige Spleißaktivität im Zellkern deutlich verringert, was zu einer veränderten Proteinexpression führt. „Prion-Protein und TDP-43 sind sozusagen ‚partners in crime‘ bei neurodegenerativen Erkrankungen“, so Jörg Tatzelt.
Eine Analyse von Gehirnproben zeigte, dass bei einigen Creutzfeld-Jacob-Patienten neben den Prion-Protein-Ablagerungen auch TDP-43-Aggregate zu finden waren. Diese Studie hat einen neuen Mechanismus aufgezeigt, wie krankheitsaassoziierte Prion-Proteine physiologische Signalwege durch Cross Seeding beeinträchtigen können.
Quelle: idw/RUB
Artikel teilen




