
Speiseröhrenkrebs ist in Deutschland eine relativ seltene Tumorerkrankung. Pro Jahr erkranken laut Krebsregister etwa 5.700 Männer und ca. 1.800 Frauen daran. Betroffene Frauen sind im Mittel 72 Jahre, Männer 68 Jahre. Die relative 10-Jahres-Überlebensrate liegt bei Frauen bei 18 Prozent, bei Männern bei 21 Prozent. Es gibt zwei Hauptformen von Speiseröhrenkrebs: die Plattenepithelkarzinome und die Adenokarzinome. Bei Patientinnen und Patienten mit Speiseröhrenkrebs entscheidet allerdings nicht nur die Chemotherapie, sondern vor allem das Immunsystem über den Erfolg der Behandlung. Das zeigt eine gerade erst veröffentlichte Studie. Das Forschungsteam fand heraus: Wenn körpereigene Abwehrzellen – insbesondere die T-Zellen – aktiv bleiben, ist offenbar die Chance auf eine erfolgreiche Therapie deutlich höher. Erscheine das Immunsystem hingegen geschwächt oder blockiert, spreche der Tumor häufig schlecht auf die Behandlung an.
Erstaunlich stabile Krebszellen
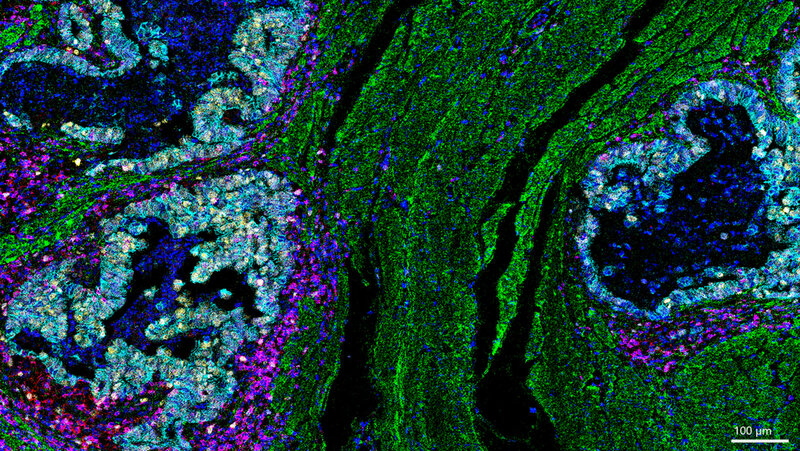
„Unsere Daten zeigen, dass die Reaktion des Immunsystems entscheidend mitbestimmt, wie gut eine Therapie wirkt – selbst wenn der Tumor sich genetisch kaum verändert“, sagt Co-Studienleiter Prof. Dr. Michael Quante, Leiter des Zentrums Gastrointestinale Tumore der Klinik für Innere Medizin II am Universitätsklinikum Freiburg. Für die Studie wurden Gewebeproben von 27 Patientinnen und Patienten mit lokal fortgeschrittenem Speiseröhrenkrebs untersucht. Alle hatten eine sogenannte neoadjuvante Therapie erhalten – also eine Behandlung vor der Operation, meist in Form einer Chemotherapie oder kombinierten Strahlen-Chemotherapie. Dabei zeigte sich: Die Krebszellen selbst blieben erstaunlich stabil. Die Veränderungen fanden vor allem im Umfeld des Tumors statt – in den Immunzellen, dem Bindegewebe und den Signalwegen zwischen Zellen.
Analyse der Tumorevolution unter Therapie
Besonders auffällig war: In Tumoren, die schlecht auf die Therapie ansprachen, fanden die Forscherinnen und Forscher Hinweise auf eine sogenannte Immunflucht. Dabei verändere der Krebs bestimmte Oberflächenmerkmale, um vom Immunsystem nicht mehr erkannt zu werden. Auch hemmende Signale wie das Molekül PD-L1 seien bei diesen Patientinnen und Patienten erhöht gewesen. Diese Signale gelten als mögliche Ziele für moderne Immuntherapien. Die Untersuchung wurde im Rahmen der MEMORI-Studie durchgeführt, an der mehrere Standorte des Deutschen Konsortium für Translationale Krebsforschung (DKTK) beteiligt waren – darunter München, Freiburg und Essen. Eine zentrale Komponente der Studie war die Analyse der Tumorevolution unter Therapie mittels Gensequenzierung, die zusammen mit Co-Studienleiter Prof. Trevor Graham, Direktor des Centre for Evolution and Cancer am Institute of Cancer Research in London, im Rahmen eines Krebshilfe Mildret Scheel Stipendiums für Dr. Melissa Barroux durchgeführt wurde.
Therapien wirksamer und besser steuerbar machen
Laut Forschungsteam lieferten die Ergebnisse wichtige Hinweise, wie Immunantworten frühzeitig erkannt und in der Zukunft gezielt unterstützt werden könnten – etwa durch Kombinationen von Chemotherapie immunaktivierenden Medikamenten. Ziel sei es, damit die Therapien für Patientinnen und Patienten mit Speiseröhrenkrebs wirksamer und besser steuerbar zu machen.
Quelle: idw/Uniklinikum Freiburg
Artikel teilen




