Eine gezielte Stimulation des Vagusnervs am Ohr soll therapeutisch wirken. Davon ist das Forschungsteam um Prof. Dr. Elmar Peuker von der Hochschule Fresenius und Prof. Dr. Timm Filler von der Universität Düsseldorf überzeugt. Das Potenzial wäre groß. Denn mehr als 17 Prozent der Deutschen leiden laut Erhebungen der Deutschen Schmerzgesellschaft an chronischen Schmerzen und etwa 12,5 Prozent an depressiven Störungen (AOK). Oft ist es ein langer Leidensweg, bis Linderung eintritt (falls überhaupt).
Gezielte Stimulation am Ohr
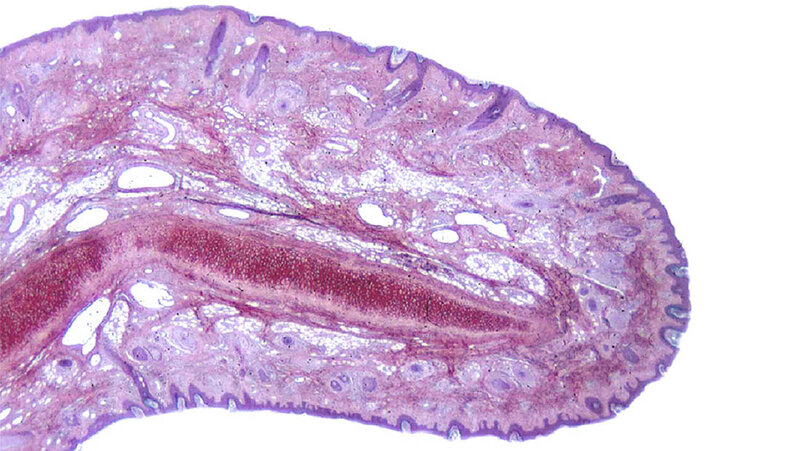
Im Fokus der Forschenden steht der Vagusnerv. Er ist einer der wichtigsten Kommunikationswege zwischen Gehirn und Organen. Neben der Atmung und dem Herzschlag beeinflusst er die Schmerz- und Stressregulation des Körpers. Ein feiner Ast dieses mächtigen Nervs verläuft durch die Ohrmuschel. Genau dort setzen die Forschenden momentan an und analysieren winzige Nervenfasern im Ohrgewebe. „Wir wollen verstehen, welche Nervenfasern im Ohr wirklich zum Vagusnerv gehören, wie und wo sie verteilt sind und wie wir sie gezielt stimulieren können”, sagt Peuker. Dazu nutzt sein Team spezielle Färbetechniken. Mit ihnen lassen sich einzelne Nerven im Ohr detailliert darstellen und sich entwickelnde Therapietechniken dadurch etablieren und optimieren.
Vorbild Ohrakupunktur?
Auch wenn dieser Ansatz in der modernen Medizin sonderbar klingt – in der Medizingeschichte ist er tief verwurzelt. In der Ohrakupunktur werden durch Reizungen vagusinnervierter Areale an der Ohrmuschel seit langem teils sehr gute Effekte in der Schmerztherapie erzielt. Ebenso nutzt die Osteopathie diesen Zugang zur Behandlung. Neu ist der präzise Blick der Forschenden auf die Nervenfasern und wie ein untypisches Hilfsmittel die Neuroanatomie des Vagusnervs stimulieren könnte. Es geht um eine Art In-Ear-Kopfhörer. Peuker sagt: „Wir wollen die wissenschaftliche Basis für Therapiegeräte verbessern – und dabei gezielt den Vagusnerv ansprechen. Mit kopfhörerähnlichen In-Ear-Geräten, die möglichst gezielte Stimulierungen relevanter Nervenstrukturen im Ohr ermöglichen.”
Quelle: HS Fresenius
Artikel teilen




