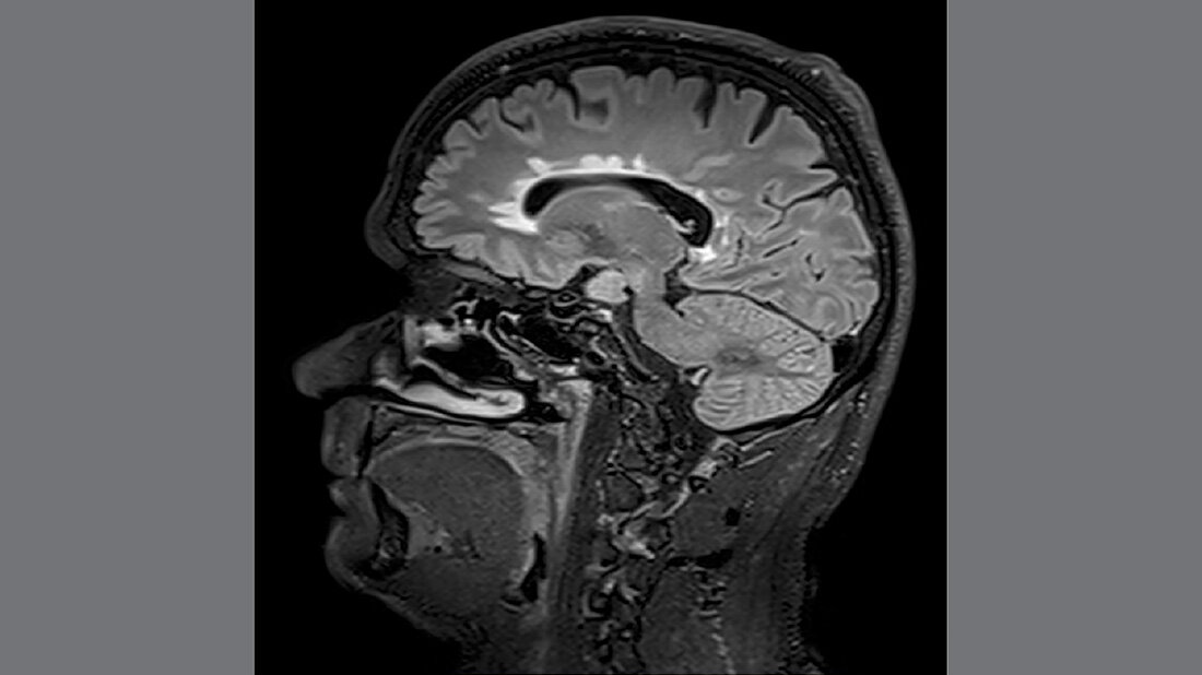
Es gibt unterschiedliche Therapieansätze bei Multipler Sklerose, die Entzündungsreaktionen und Beschwerden eindämmen können. Bei schweren Verläufen können Krankheitsschübe und permanente Behinderungen so eingedämmt werden. Meist dienen klinische Symptome wie Einschränkungen des Sehvermögens und Lähmungserscheinungen zur Einschätzung des Krankheitsbildes und -verlaufs. Doch auch bilgebende Verfahren können Grundlage sein, den Verlauf der MS zu beobachten und als Grundlage für Therapieentscheidungen zu dienen.
Klinisch stabil trotz Gehirnläsionen
Basis ist die Erkenntnis, dass auch bei scheinbar stabilen Patientinnen und Patienten stumme Entzündungen entwickeln können. Entzündliche Läsionen im Gehirn können mithilfe der MRT nachgewiesen werden und erlauben eine Einschätzung des Krankheitsverlaufs auch bei geringer Krankheitsaktivität. Eine retrospektive Studie lieferte hier nun die wissenschaftliche Grundlage für neue Kriterien, die Therapie zu intensivieren bei scheinbar stabilen Patienten.
Denn die Läsionen sind häufig schon vor klinischen Symptome in der MRT sichtbar. In der Studie führte man bei 131 Patientinnen und Patienten, die mit einer gering- bis moderat-effektiven Immuntherapie für 12 Monate klinisch stabil waren, eine MRT durch. Die Ergebnisse zeigen, dass Patientinnen und Patienten mit zwei oder mehr Läsionen innerhalb eines Jahres von dem Wechsel auf eine hoch-effektive Immuntherapie profitieren – auch wenn sie klinisch noch keine weiteren Symptome zeigten.
Frühes Eingreifen empfohlen
Studienleiter Harald Hegen betont: „Nachdem Läsionen oft schon vor dem Auftreten klinischer Symptome in der MRT sichtbar sind, ermöglicht eine bildgebende Kontrolle bei Patient:innen mit einer gering- bis moderat-effektiven Therapie ein frühes Eingreifen in den individuellen Krankheitsverlauf.“ Die bisherige klinische Praxis besagt eine Therapieverstärkung erst nach dem Auftreten klinischer Symptome. Die Studie zeigte jedoch, dass 40 Prozent der Patientinnen und Patienten klinisch stabil waren, im MRT jedoch schon Läsionen aufwiesen.
Die Ergebnisse der Studie sollen in künftige Therapie-Empfehlungen der Leitlinien einfließen.
Quelle: idw
Artikel teilen




