Toxoplasmose: Hoffnung auf neue Medikamente?
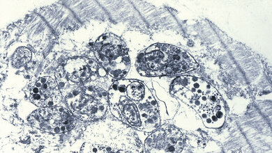
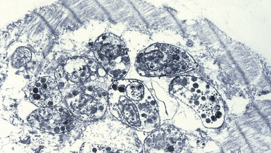
Die Toxoplasmose gehört zu den weltweit am meisten verbreiteten Zoonosen. Dabei handelt es sich um eine Infektionskrankheit, die von Katzen auf Menschen übertragen werden kann, nur im Darmepithel der Katzen und anderer Felidae kann die geschlechtliche Vermehrung der Parasiten stattfinden. Daneben können sich Menschen durch den Verzehr von nicht durchgebratenem Fleisch infizieren. Vor allem für Schwangere ist eine Infektion gefährlich, da sie zu Missbildungen beim Fötus führen kann. Verursacher der Krankheit ist der einzellige Parasit Toxoplasma gondii. Es handelt sich dabei um obligat intrazellulär lebende Parasiten, die innerhalb der Protozoen (Einzeller) zu den Apicomplexa gehören. Innerhalb der Wirtszelle bildet er ein kleines Bläschen. Diese sogenannte parasitophore Vakuole sorgt für den Nährstoffaustausch und die synchrone Zellteilung. Dabei sind die entstandenen Tochterzellen innerhalb der Vakuole über ein Netzwerk – vergleichbar einer Nabelschnur – miteinander verbunden. Bis zu 64 Tochterzellen können sich in dem Bläschen bilden. Sobald die Abkömmlinge reif sind, sorgt ein Regulationsmechanismus dafür, dass die Vakuole mit den darin gebildeten Strukturen aufgelöst wird. Das ist der Zeitpunkt, an dem die Tochterzellen mobil werden und neue Wirtszellen befallen.
Neuartiges genetisches Screeningverfahren
Bislang war nicht bekannt, welche Gene die Proteine codieren, die den Austritt aus der Wirtszelle steuern. Um erstere zu identifizieren, haben Prof. Markus Meißner, Leiter des LMU-Lehrstuhls für Experimentelle Parasitologie, und sein Team gemeinsam mit Kollegen der University of Glasgow (Schottland) ein neuartiges genetisches Screeningverfahren entwickelt, das auf der „Genschere“ Cas9 basiert, und eine Bibliothek von 320 parasitenspezifischen Genen untersucht. Dabei haben sie zwei Gene entdeckt, ohne die ein Zellaustritt unmöglich ist.
Entwicklung potenzieller Wirkstoffe?
Die gezielte Zerstörung dieser Gene führte zu einer Blockade des Austritts und damit zum Tod der nächsten Parasitengeneration innerhalb der Wirtszelle. „Damit ist der Weg frei für die Entwicklung potenzieller Wirkstoffe, welche die Funktion der entsprechenden Proteine blockieren und so die Verbreitung stoppen könnten“, kommentiert Markus Meißner.
Toxoplasma gondii ist eng mit dem Malariaerreger Plasmodium falciparum verwandt. Deshalb dient der Parasit als Modellorganismus für den Erreger der Tropenkrankheit, an der jährlich weltweit Hunderttausende Menschen sterben. „Wir gehen davon aus, dass ähnliche Prozesse die Vermehrung des Malariaerregers steuern“, erklärt LMU-Parasitologin Dr. Elena Jimenez-Ruiz. „Wir werden als nächstes untersuchen, welche Funktionen diese Proteine im Malaria-Erreger haben und ob es mögliche Ansatzpunkte für die Entwicklung neuer Medikamente gibt.“
Quelle: idw/LMU
Artikel teilen






